Trang chủ » Kiến thức nha khoa » Chỉ nha khoa dùng như thế nào? Hướng dẫn sử dụng giúp sạch sâu

Chỉ nha khoa dùng như thế nào? Hướng dẫn sử dụng giúp sạch sâu

Chỉ nha khoa dùng như thế nào là thắc mắc phổ biến của nhiều người khi muốn làm sạch kẽ răng hiệu quả mà không gây đau hay chảy máu nướu. Trên thực tế, bàn chải chỉ làm sạch được khoảng 60% bề mặt răng, phần còn lại nằm ở kẽ răng và dưới viền nướu – nơi vi khuẩn dễ tích tụ gây sâu răng, hôi miệng. Bài viết dưới đây sẽ cung cấp hướng dẫn sử dụng chỉ nha khoa chi tiết, giúp bạn tự tin chăm sóc nụ cười của mình.

Tại sao phải dùng chỉ nha khoa?

Nhiều người thắc mắc dùng chỉ nha khoa có tác dụng gì mà các nha sĩ lại khuyên dùng thay thế tăm tre? Thực tế, thói quen này mang lại nhiều lợi ích rõ rệt cho sức khỏe răng miệng và đã được chứng minh qua thực tế sử dụng. Dưới đây là những lợi ích mà chỉ nha khoa mang lại.

  • Làm sạch sâu: Sợi chỉ mảnh giúp loại bỏ thức ăn và mảng bám ở kẽ răng và đường nướu, nơi lông bàn chải không thể len lỏi tới.
  • Phòng ngừa bệnh lý răng miệng: Việc này giúp ngăn ngừa sâu răng, viêm lợi (nướu) và giảm chảy máu chân răng do tích tụ mảng bám lâu ngày.
  • Ngừa hôi miệng: Giúp cải thiện hơi thở, giảm hôi miệng rõ rệt sau khoảng một tuần sử dụng thường xuyên.
  • Bảo vệ sức khỏe toàn thân: Giảm nguy cơ mắc các bệnh hô hấp (viêm phổi, viêm phế quản) do vi khuẩn từ miệng di chuyển xuống cổ họng; đồng thời hỗ trợ ngăn ngừa bệnh tim mạch và kiểm soát đường huyết ở người tiểu đường.

Vậy chỉ nha khoa thay thế tăm xỉa răng không? Câu trả lời là có và nên thay thế hoàn toàn. Tăm xỉa răng thường cứng, nhọn, dễ gây tổn thương nướu và làm thưa răng, trong khi chỉ nha khoa an toàn hơn rất nhiều.

Chỉ nha khoa dùng như thế nào
Chỉ nha khoa giúp làm sạch kẽ răng hiệu quả, ngừa sâu răng và bảo vệ nướu an toàn hơn tăm tre

>>> Xem thêm: Đánh Răng Đúng Cách Để Răng Luôn Khỏe

Hướng dẫn cách dùng chỉ nha khoa dạng cuộn  

Dưới đây là hướng dẫn dùng chỉ nha khoa cho người mới với loại chỉ cuộn (dental floss) – loại phổ biến nhất hiện nay.

  • Bước 1: Chuẩn bị chỉ. Cắt 45–60 cm, quấn vào hai ngón giữa, chừa 3–5 cm để thao tác dễ và hiệu quả.
  • Bước 2: Cầm chỉ. Giữ bằng ngón cái và ngón trỏ để kiểm soát lực tốt hơn khi làm sạch.
  • Bước 3: Đưa chỉ vào kẽ răng. Luồn nhẹ nhàng, tránh ấn mạnh vào nướu; uốn chỉ hình chữ C ôm sát chân răng.
  • Bước 4: Làm sạch. Di chuyển sợi chỉ lên xuống ở cả hai mặt răng để loại bỏ mảng bám.
  • Bước 5: Chuyển sang răng khác. Dùng đoạn chỉ sạch mới cho mỗi kẽ răng để tránh lây vi khuẩn.
  • Bước 6: Kết thúc. Rút chỉ nhẹ nhàng và súc miệng lại bằng nước hoặc dung dịch sát khuẩn.
Chỉ nha khoa dùng như thế nào
Hướng dẫn dùng chỉ nha khoa dạng cuộn đúng cách giúp làm sạch kẽ răng an toàn và hiệu quả

Hướng dẫn cách dùng tăm chỉ nha khoa  

Nếu bạn thấy chỉ cuộn khó thao tác, tăm chỉ nha khoa (floss pick) là lựa chọn thay thế tuyệt vời. Đây cũng là cách dùng chỉ nha khoa đơn giản nhất cho người khó cử động tay.

  • Bước 1: Cầm thân cây tăm, nhẹ nhàng đưa đầu chỉ vào các kẽ răng.
  • Bước 2: Di chuyển sợi chỉ lên xuống nhẹ nhàng để loại bỏ mảng bám. Với thức ăn thừa giắt sâu, bạn có thể quay đầu tăm lại, dùng đầu nhọn để khều nhẹ ra ngoài. Đây là cách xỉa răng đúng cách và văn minh hơn dùng tăm tre.
  • Bước 3: Súc miệng lại với nước sạch hoặc nước súc miệng để loại bỏ hoàn toàn vi khuẩn và vụn thức ăn.

Thời điểm “vàng” để sử dụng chỉ nha khoa

Nhiều bệnh nhân tại Nha khoa Alisa thường hỏi chỉ nha khoa dùng đúng cách như thế nào về mặt thời gian và tần suất.

Thời điểm nào là phù hợp nhất để sử dụng chỉ nha khoa?

Mặc dù không có quy định cứng nhắc, nhưng để đạt hiệu quả tối ưu, bạn nên dùng chỉ nha khoa để làm sạch kẽ răng trước khi đánh răng. Lý do là khi kẽ răng đã sạch, các hoạt chất Fluoride trong kem đánh răng sau đó sẽ dễ dàng tiếp xúc trực tiếp với bề mặt răng ở kẽ, giúp bảo vệ men răng tốt hơn. Sau cùng, hãy súc miệng để cuốn trôi hoàn toàn vi khuẩn.

Chỉ nha khoa dùng như thế nào
Nên dùng chỉ nha khoa trước khi đánh răng để tăng hiệu quả làm sạch và bảo vệ men răng

Tần suất sử dụng

Liệu chỉ nha khoa dùng hàng ngày tốt không? Câu trả lời là rất tốt. Bạn nên sử dụng chỉ nha khoa thường xuyên và đều đặn, ít nhất 1 lần/ngày (tốt nhất là buổi tối). Các chuyên gia khuyến cáo nên duy trì thói quen này hàng ngày để ngăn ngừa mảng bám tích tụ lâu ngày gây vôi răng và viêm lợi.

Những sai lầm tai hại khi dùng chỉ nha khoa cần dừng lại ngay

Dù chỉ nha khoa là công cụ làm sạch kẽ răng rất hiệu quả, nhưng nếu dùng sai cách, bạn không chỉ giảm tác dụng vệ sinh mà còn làm tổn thương nướu và men răng. Nhiều thói quen tưởng chừng vô hại lại âm thầm khiến tình trạng viêm nướu, hôi miệng và ê buốt trở nên nghiêm trọng hơn.  

  • Dùng một đoạn chỉ cho cả hàm răng khiến vi khuẩn và mảng bám từ kẽ răng này bị kéo sang kẽ răng khác, làm tăng nguy cơ viêm nướu và hôi miệng.
  • Thao tác quá mạnh tay dễ gây trầy xước mô nướu, chảy máu và tạo điều kiện cho vi khuẩn xâm nhập, lâu dài có thể dẫn đến tụt lợi.
  • Chọn sai loại chỉ nha khoa như chỉ quá to, quá cứng hoặc không phủ sáp có thể làm mòn men răng vùng kẽ và gây đau rát khi sử dụng.
Chỉ nha khoa dùng như thế nào
Dùng sai chỉ nha khoa có thể gây chảy máu nướu, mòn men răng và tăng nguy cơ viêm nhiễm

Câu hỏi thường gặp (FAQ)

Trong quá trình tư vấn, các bác sĩ nhận thấy có một số lỗi thường gặp khi dùng chỉ nha khoa dẫn đến những hiểu lầm sau:

Dùng chỉ nha khoa có làm thưa răng không?

Dùng chỉ nha khoa không làm thưa răng nếu bạn thực hiện đúng kỹ thuật và sử dụng đều đặn. Việc dùng chỉ nha khoa đúng kỹ thuật sẽ không làm thưa răng vì sợi chỉ rất mảnh. Tuy nhiên, nếu bạn chọn loại chỉ quá thô, cứng và không phù hợp với kẽ răng thì việc sử dụng lâu ngày có thể gây thưa. Ngoài ra, tăm tre mới chính là “thủ phạm” thực sự gây thưa răng và tụt lợi.

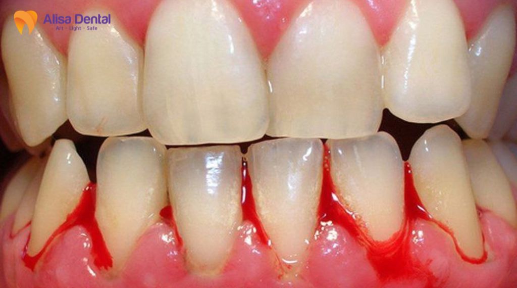
Tại sao bị chảy máu khi dùng chỉ nha khoa?

Chảy máu khi dùng chỉ nha khoa thường do hai nguyên nhân chính là nướu đang viêm hoặc thao tác sử dụng chỉ chưa đúng kỹ thuật.

  • Dùng sai kỹ thuật: Dùng lực quá mạnh hoặc ấn sợi chỉ thẳng (“bặp”) vào nướu gây cắt, tổn thương mô mềm.
  • Viêm lợi: Nếu bạn đang bị viêm lợi do mảng bám, nướu sẽ nhạy cảm và dễ chảy máu. Đừng lo lắng, hãy tiếp tục dùng chỉ nha khoa nhẹ nhàng. Khi mảng bám được loại bỏ, nướu sẽ khỏe lại và tình trạng chảy máu sẽ hết sau vài ngày.
Chỉ nha khoa dùng như thế nào
Chảy máu khi dùng chỉ nha khoa thường do viêm nướu hoặc thao tác sai kỹ thuật

Người niềng răng dùng chỉ nha khoa như thế nào?

Người niềng răng cần tốn nhiều thời gian hơn và nên chọn loại chỉ nha khoa có sáp (waxed floss) để tránh bị rách hoặc vướng vào mắc cài.

  • Dụng cụ hỗ trợ: Cần dùng cây luồn chỉ (floss threader) để đưa chỉ qua dây cung niềng răng, hoặc dùng máy tăm nước bổ trợ.
  • Cách làm: Luồn chỉ vào giữa răng và dây cung chính. Quấn chỉ quanh ngón tay, sau đó nhẹ nhàng đưa vào kẽ răng theo hình chữ U ngược (với hàm trên) để làm sạch từng mặt răng, tránh giật mạnh làm bung mắc cài.

>>> Xem thêm: Bí quyết chăm sóc răng niềng chuẩn nha khoa!

Việc nắm vững chỉ nha khoa dùng như thế nào là bước quan trọng để bảo vệ nụ cười của bạn và gia đình. Hãy bắt đầu thói quen này ngay hôm nay để ngăn ngừa sâu răng và viêm nướu hiệu quả. Nếu bạn gặp tình trạng chảy máu nướu kéo dài dù đã dùng chỉ nha khoa đúng cách, hoặc cần tư vấn thêm về các vấn đề răng miệng, hãy liên hệ ngay với Nha khoa Alisa. Đội ngũ bác sĩ chuyên môn cao của chúng tôi luôn sẵn sàng hỗ trợ bạn có được hàm răng chắc khỏe và nụ cười rạng rỡ nhất! 

Thông tin liên hệ:

  • 33 Nguyễn Phong Sắc, Cầu Giấy, Hà Nội
  • Hotline: 0921.617.555
  • cskh.alisadental@gmail.com
  • Giờ làm việc: 8:30 đến 20:00 

—————————————————————————————————————————–

Tham khảo thêm các bài viết:

096.782.5455
Chat Messenger 1
Chat Zalo 1