Implant implant all on 4 và implant all on 6 là hai phương pháp khôi phục hàm răng đã mất bằng cách sử dụng sáu hoặc bốn trụ implant kết hợp hàm răng giả cố định. Sự kết hợp này giúp người bệnh bảo toàn khả năng nhai gần giống răng thật, mật động xương hàm được duy trì và phòng ngừa tối đa bệnh lý răng miệng phát sinh trong tương lai. Vậy khi nào thì nên sử dụng implant all on 4 và implant all on 6?
1. Cấy Implant All On 6 và Implant All On 4 là gì?
Implant All On 6 và Implant All On 4 là giải pháp phục hình răng toàn hoàn tiên tiến. Hai kỹ thuật này thường được chỉ định với người mất răng lâu năm, nguy cơ tiêu xương hàm hoặc muốn lấy lại chức năng nhai nuốt như răng thật.
1.1. Cấy Implant All On 4
Cấy Implant All On 4 là phương pháp nha khoa hiện đại, thường được áp dụng cho người mất nhiều hơn tám chiếc răng hoặc toàn bộ hàm răng. Kỹ thuật thông qua đặt 4 trụ implant vào xương hàm, nhằm mục đích làm giá đỡ cho những răng giả được phục hình bên trên.

Implant All On 4 thường được áp dụng với những trường hợp sau:
- Người mất răng toàn hàm trên, hàm dưới hoặc cả 2 hàm
- Người mất răng toàn hàm nhưng không đủ sức khỏe cấy nhiều trụ implant
- Người mất răng hoàn toàn nhưng không muốn dùng hàm tháo lắp
- Người bị viêm nha chu nặng và buộc phải nhổ hết răng
Trồng răng All On 4 không chỉ giải quyết những vấn đề về khả năng nhai mà còn giữ ổn định cấu trúc xương hàm, lấy lại tự tin khi giao tiếp cho người bệnh. Cuối cùng không thể đề cập đến độ bền, răng implant ước tính tuổi thọ trên 20 năm, thậm chí vĩnh viễn nếu biết cách chăm sóc và vệ sinh tốt.
1.2 Cấy Implant All On 6
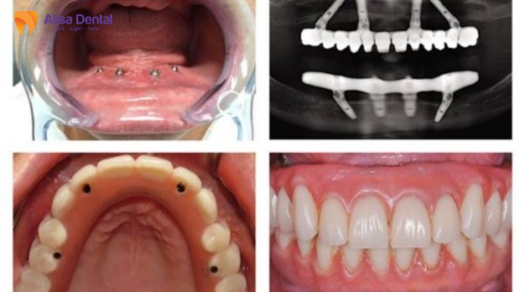
Implant All On 6 sử dụng sáu trụ implant cấy trực tiếp vào xương hàm, trong đó bác sĩ sẽ cắm 4 trụ vào nhóm răng cửa và răng nanh, còn 2 trụ đặt tại khu vực hàm sau. Kỹ thuật này đảm bảo 12 – 14 chiếc răng sứ phía trên được nâng đỡ hiệu quả, ổn định chức năng ăn uống về lâu dài.

2. Phân biệt kỹ thuật Implant All On 4 với Implant All On 6
Dù Implant All On 4 và Implant All On 6 đều là kỹ thuật phục hình tiên tiến, nhưng mỗi phương pháp lại phù hợp với những tình trạng xương hàm hay nhu cầu ăn nhai khác nhau. Hiểu về cấu trúc trụ, cách phân bổ lực và vị trí đặt giúp bệnh nhân bước đầu xác định hướng can thiệp tối ưu.
2.1. Cấu trúc Implant
Cấu trúc implant giữa phương pháp All On 4 và All On 6 có sự khác biệt nhất định, tương đối rõ ràng. Nếu All On 4 sử dụng bốn trụ cố định hàm răng giả vào xương hàm, thì All On 6 cần tới sáu trụ để tăng hiệu quả trụ lực và ổn định chức năng nhai.
Lượng implant cắm trực tiếp vào xương hàm quyết định trực tiếp đến khả năng chịu lực và hiệu quả hoạt động của răng giả. Khi số implant chịu lực tăng, lực nhai khi tiêu thụ thực phẩm sẽ được phân bổ đồng đều và giảm áp lực gây xô lệch răng giả.

Tuy nhiên, không phải trường hợp nào cũng phù hợp với chỉ định cắm nhiều implant. Tiêu biểu như những ca bệnh tiêu xương nặng, mật độ xương hàm không còn đủ để cắm trên bốn trụ.
2.2. Vị trí đặt Implant
Khác biệt về vị trí đặt implant cũng là yếu tố cần được so sánh giữa hai phương pháp. Cụ thể:
- Bốn implant của All On 4 chỉ được cấy vào vùng hàm sau, tạo thành một cấu trúc nâng đỡ răng giả.
- Sáu implant của All On 6 được phân bổ đều toàn hàm, trong đó bốn implant ở hàm sau và 2 implant ở hàm trước.
Dù khác nhau về vị trí đặt implant, nhưng cả hai phương pháp đều có chung mục tiêu tái tạo nền tảng ổn định, vững chắc cho hoạt động của hàm răng giả. Đồng thời giảm ngừa tối đa các vấn đề răng miệng như viêm nhiễm hoặc lệch khớp cắn.
3. Ưu điểm khi trồng răng Implant All On 6 và Implant All On 4
Những năm gần đây, trồng răng Implant All On 6 và Implant All 4 là giải pháp phục hình răng được nhiều người ưa chuộng. Hai phương pháp sở hữu loạt ưu điểm vượt trội về việc cải thiện chức năng nhai, lấy lại thẩm mỹ khuôn miệng cũng như thời hạn sử dụng trên 20 năm.
3.1. Khả năng chịu lực và ổn định tốt
Lượng implant sử dụng trong kỹ thuật All On 4 và All On 6 được đặt ở những vị trí trọng yếu, tạo nên một cấu trúc ổn định và vững chắc. Áp lực khi bệnh nhân ăn uống nhờ đó được phân tán đều trên toàn bộ hàm răng giả, vừa hạn chế các tổn thương thứ phát, vừa tăng trải nghiệm thoải mái khi sử dụng.

3.2. Rút ngắn thời gian điều trị và phục hồi
Dù áp dụng phương pháp All On 6 hay All On 4, bệnh nhân đều dễ dàng nhận thấy sự phục hồi hiệu quả và nhanh chóng. Nếu cắm bốn implant bệnh nhân có thể lắp răng giả ngay trong một buổi phẫu thuật, còn đặt sáu implant tốn nhiều thời gian nhưng cũng chỉ kéo dài trong 2 – 3 buổi.
3.3. Giảm nguy cơ tiêu xương hàm
Chặn quá trình tiêu xương hàm là một trong những ưu điểm nổi bật của hai kỹ thuật Implant All On 6 và Implant All On 4. Bởi khi mất quá nhiều răng hoặc toàn hàm, quá trình tái tạo xương dần mất đi hoặc suy giảm đáng kể kích thước cấu trúc vốn có.
3.4. Tính thẩm mỹ cao
Những chiếc răng giả được thiết kế với màu sắc, kích thước và hình dáng tự nhiên tương tự răng thật. Cầu răng ôm sát đường nướu giúp bệnh nhân cười nói tự tin hơn, không còn nỗi sợ lộ viền nướu, thiếu cân bằng với khuôn mặt hay nhìn thô cứng khi giao tiếp.

3.5. Tuổi thọ cao
Chất liệu trụ implant sử dụng trong hai phương pháp có độ tương thích sinh học cao, nguy cơ thải ghép thấp và ít gây biến chứng. Nếu vệ sinh đúng cách, tái khám kiểm tra định kỳ, cấu trúc bốn hay sáu trụ implant có thể sử dụng được hàng chục năm, thậm chí vĩnh viễn.
4. Chi phí thực hiện cấy implant
Ban đầu, chi phí cấy Implant All On 6 và Implant All On 4 sẽ nhỉnh hơn các phương pháp phục hình truyền thống như cầu răng sứ, hàm tháo lắp. Tuy nhiên khi xét về lâu dài, hai kỹ thuật đặt implant này mang lại hiệu quả hoạt động bền vững cho hàm răng giả, tiết kiệm thời gian và tiền bạc xử trí vấn đề thứ phát trong tương lai.
4.1. Chi phí trồng răng Implant On 4
Tuỳ thuộc loại trụ implant, chất liệu răng sứ và mức độ mất răng của bệnh nhân mà chi phí trồng răng All On 4 dao động từ 67 triệu đến hơn 200 triệu đồng. Một số yếu tố khác có thể ảnh hưởng đến giá thành dịch vụ như trình độ bác sĩ, chất lượng dịch vụ và hệ thống trang thiết bị y tế.

4.2. Trồng răng Implant All On 6 giá bao nhiêu?
So với cấy implant bốn trụ, kỹ thuật All On 6 có mức phí nhỉnh hơn đáng kể, nằm trong khoảng 148 – 290 triệu mỗi hàm. Do phương pháp này sử dụng đến sáu implant, kèm theo những yêu cầu khắt khe về mức độ chính xác trong việc lắp đặt, đảm bảo lực phân bổ toàn hàm đồng đều và vững chắc.
5. Khi nào nên làm Implant All On 6 và Implant All On 4?
Chỉ định cấy implant 6 trụ, 4 trụ cần được xem xét trên nhiều yếu tố như tình trạng xương hàm, nhu cầu thẩm mỹ, mong muốn ăn uống và điều kiện sức khoẻ tổng thể. Để đưa quyết định phù hợp, bệnh nhân cần thăm khám lâm sàng chuyên sâu kết hợp xét nghiệm hình ảnh, giúp bác sĩ có những đánh giá cụ thể.
Những trường hợp mất răng dưới đây thường được khuyến nghị đặt trụ implant:
- Người mất nhiều răng, toàn bộ một hoặc cả hai hàm răng.
- Người mất toàn hàm răng nhưng không muốn làm hàm tháo lắp hoặc cầu răng.
- Bệnh nhân gặp vấn đề về nha chu nặng, bắt buộc phải nhổ bỏ toàn bộ hàm.

Xem xét dựa trên đặc điểm riêng, khuyến nghị tham khảo cấy All On 4 và All On 6 với từng trường hợp như sau:
- Đặt bốn trụ implant phù hợp với những bệnh nhân có xương hàm yếu, tiêu xương nhiều, không đủ điều kiện đặt cùng lúc nhiều implant. Bốn trụ được ưu tiên cắm ở vùng xương dày và vững chắc, đảm bảo hiệu quả sử dụng ổn định theo thời gian.
- Đặt sáu trụ implant thường được chỉ định với người có xương hàm dày và vững chắc. Tuy thời gian phục hồi có thể lâu hơn All On 4 nhưng phương pháp này được đánh giá cao về tuổi thọ và lực nhai khoẻ.
6. Làm răng Implant All On 4 và Implant All On 6 tại Alisa Dental
Với kim chỉ nam nâng cao sức khỏe răng miệng, mang lại nụ cười tự nhiên cho bệnh nhân, Nha khoa Alsia Dental đã và đang tiếp tục triển khai đồng thời hai kỹ thuật Implant All On 4 và Implant All On 6.
Đến với Alisa Dental, bệnh nhân sẽ được thăm khám, điều trị trực tiếp với đội ngũ bác sĩ lành nghề, chuyên môn cao. Cùng với đó là trang thiết bị hiện đại ứng dụng xuyên suốt quá trình, giảm thiểu tối đa các biến chứng không mong muốn.
Không chỉ đồng hành với người bệnh trong quá trình điều trị, đơn vị còn cam kết về chính sách chăm sóc hậu phẫu. Việc đều đặn theo dõi từ xa, hẹn tái khám định kỳ đảm bảo các trụ implant và hàm răng phục hình duy trì chức năng chuyển động hoà hợp với xương hàm.
7. Kết luận
Implant All On 6 và Implant All On 4 là hai kỹ thuật phục hình toàn hàm hiện đại, khôi phục răng đã mất bằng cách kết hợp cắm trụ và sử dụng hàm răng giả. Những phương pháp này đặc biệt hữu hiệu với bệnh nhân mất răng lâu năm, tiêu xương nhiều. Tuy nhiên để kết quả thực sự bền vững theo thời gian, người bệnh cần điều trị tại cơ sở uy tín và tuân thủ chỉ định chăm sóc hậu phẫu.