Sau một thời gian bọc răng sứ, không ít khách hàng tá hỏa khi phát hiện vùng nướu quanh chân răng dần chuyển sang màu thâm đen, xám xịt. Vậy răng sứ bị đen viền nướu là gì? Đâu là nguyên nhân gốc rễ và liệu có cách nào khắc phục triệt để hay không? Bài viết dưới đây từ các bác sĩ chuyên khoa tại Nha khoa Alisa sẽ giúp bạn giải mã hiện tượng này và tìm lại nụ cười rạng rỡ.
Dấu hiệu nhận biết răng sứ bị đen viền nướu
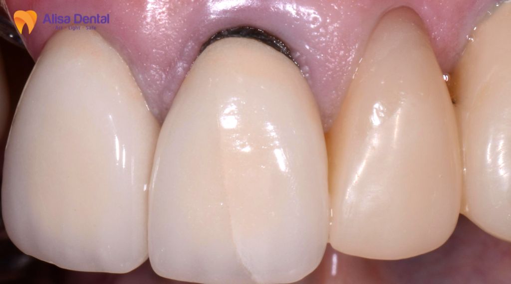
Bọc răng sứ bị đen viền nướu là hiện tượng phần mô mềm tiếp giáp với chân răng sứ bị đổi màu, tạo thành các vệt đen mất thẩm mỹ. Bạn có thể dễ dàng nhận biết tình trạng này qua các biểu hiện lâm sàng cụ thể sau:
- Màu sắc nướu thay đổi: Quan sát kỹ bằng mắt thường hoặc qua gương, bạn sẽ thấy xuất hiện một đường viền mảnh màu đen, xám sẫm hoặc xanh tím tại vị trí cổ răng, nơi tiếp giáp giữa mão sứ và nướu.
- Lộ viền kim loại: Trong trường hợp nướu bị tụt thấp xuống, phần sườn kim loại màu đen xám bên trong của răng sứ sẽ bị lộ ra ngoài, trông như viền nướu răng sứ bị đen.
- Viêm nướu kèm theo: Đôi khi tình trạng này không đứng độc lập mà đi kèm với các dấu hiệu sưng đỏ, viêm nhiễm, dễ chảy máu khi đánh răng hoặc hơi thở có mùi hôi khó chịu do thức ăn giắt vào khe hở.

Nguyên nhân khiến răng sứ bị đen viền nướu phổ biến nhất
Để biết răng sứ bị đen viền nướu phải làm sao, trước hết chúng ta cần “bắt mạch” đúng nguyên nhân. Dưới đây là 4 lý do chính giải thích vì sao răng sứ bị đen chân nướu:
Sử dụng răng sứ kim loại
Đây được xem là nguyên nhân răng sứ bị đen viền nướu hàng đầu và phổ biến nhất hiện nay. Các dòng răng sứ kim loại (như sứ Titan, Niken-Crom, Crom-Cobalt) có cấu tạo khung sườn bên trong bằng hợp kim và chỉ phủ lớp sứ trắng bên ngoài. Sau một thời gian sử dụng (thường từ 3-5 năm), dưới tác động của môi trường axit trong nước bọt, thức ăn và các phản ứng oxy hóa khử, phần khung kim loại này sẽ bị oxy hóa.
Quá trình trên tạo ra các muối kim loại kết tủa, ngấm vào mô nướu làm đen cổ răng và gây ra tình trạng răng sứ bị thâm nướu. Ngoài ra, do lớp sứ không che phủ hết hoặc khi có ánh sáng chiếu vào, phần lõi kim loại đen bên trong có thể ánh ra ngoài lớp nướu mỏng, tạo cảm giác bị đen.

Kỹ thuật bọc răng sứ của bác sĩ chưa chuẩn
Tay nghề bác sĩ là yếu tố then chốt quyết định đến độ bền đẹp của răng sứ. Nếu bác sĩ mài răng không đúng tỷ lệ, lấy dấu hàm không chính xác sẽ dẫn đến mão sứ chế tác bị sai lệch. Khi lắp vào, mão sứ không sát khít, bị hở cổ chân răng hoặc kênh cộm sẽ tạo thành khe hở cho thức ăn bám dính. Đây là môi trường lý tưởng cho vi khuẩn phát triển, gây viêm nhiễm và làm thâm đen viền nướu.
Nghiêm trọng hơn, nếu đường hoàn tất vi phạm khoảng sinh học của nướu (mài quá sâu xuống dưới lợi) sẽ gây viêm nướu mãn tính, khiến nướu luôn trong tình trạng xung huyết, thâm tím.
Do tụt lợi (tụt nướu)
Tình trạng răng sứ bị đen chân răng cũng có thể xuất phát từ việc mô nướu bị co ngót và tụt xuống thấp hơn vị trí ban đầu. Khi nướu tụt, phần tiếp giáp giữa răng sứ và cùi răng thật sẽ bị lộ ra. Nếu bạn bọc răng sứ kim loại, phần đai kim loại đen sẽ hiện rõ mồn một. Trong một số trường hợp bọc sứ trên răng đã chữa tủy (răng chết), theo thời gian mô răng thật bên trong bị sậm màu, khi tụt lợi, phần chân răng thật bị đen này sẽ lộ ra ngoài gây mất thẩm mỹ.

Cơ địa và cách chăm sóc răng miệng
Cách chăm sóc răng miệng sai lầm cũng góp phần làm tình trạng này tồi tệ hơn. Thói quen chải răng quá mạnh theo chiều ngang hoặc dùng bàn chải lông cứng sẽ làm mòn cổ răng, tổn thương nướu và khiến nướu tụt dần, làm lộ viền đen.
Ngoài ra, một số bệnh nhân có cơ địa dị ứng với thành phần kim loại trong răng sứ sẽ gặp phản ứng đào thải nhẹ, gây viêm nướu và thâm đen nhanh hơn người bình thường. Việc hút thuốc lá hay tiêu thụ nhiều thực phẩm sẫm màu cũng là tác nhân khiến nướu đổi màu.
>>> Xem thêm: Các loại răng sứ thẩm mỹ
Răng sứ bị đen viền nướu có nguy hiểm không?
Nhiều khách hàng lo lắng răng sứ bị đen viền nướu có nguy hiểm không. Câu trả lời là CÓ, tuy không nguy hiểm đến tính mạng nhưng lại gây ra nhiều hệ lụy ảnh hưởng trực tiếp đến chất lượng cuộc sống:
- Mất thẩm mỹ nghiêm trọng: Đặc biệt là ở vùng răng cửa, viền đen khiến nụ cười trở nên kém duyên, người bệnh tự ti, ngại giao tiếp và hạn chế cười lớn.
- Nguy cơ bệnh lý răng miệng: Nếu đen nướu do hở cổ chân răng hay viêm nhiễm, nó có thể dẫn đến hôi miệng dai dẳng, viêm nha chu, sâu răng tái phát phá hủy cùi răng thật bên trong và thậm chí mất răng thật nếu không xử lý kịp thời.
- Giảm chức năng ăn nhai: Cảm giác ê buốt hoặc đau nhức do viêm nướu đi kèm sẽ cản trở việc ăn uống, làm giảm cảm giác ngon miệng.

Cách khắc phục răng sứ bị đen viền nướu hiệu quả nhất
Tin vui cho bạn là răng sứ bị đen viền nướu có sửa được không thì hoàn toàn có thể khắc phục được. Tùy vào nguyên nhân, bác sĩ sẽ chỉ định giải pháp tối ưu nhất:
Thay mão sứ (Thay răng sứ toàn sứ)
Đây là giải pháp tối ưu và triệt để nhất để khắc phục tình trạng đen viền nướu do răng sứ kim loại hoặc răng sứ kém chất lượng. Bác sĩ sẽ tiến hành tháo bỏ mão sứ cũ, xử lý vệ sinh cùi răng và thay thế bằng mão răng toàn sứ mới (như Zirconia, Cercon HT, Emax…). Răng toàn sứ là vật liệu trơ, không chứa kim loại nên hoàn toàn không bị oxy hóa trong môi trường miệng, đảm bảo tính thẩm mỹ trắng trong tự nhiên và độ bền lên tới 20 năm.

Điều trị bệnh lý về nướu
Trong trường hợp đen viền nướu do viêm nhiễm hoặc bệnh lý nha chu, việc điều trị nền tảng là bắt buộc. Nếu viêm nhẹ, bác sĩ sẽ làm sạch vết viêm, lấy cao răng và kê đơn thuốc kháng viêm để nướu hồi phục hồng hào trở lại. Nếu viêm nặng hoặc tụt lợi nhiều, có thể cần phẫu thuật ghép nướu hoặc điều trị nha chu triệt để. Sau khoảng 2-3 tháng khi nướu khỏe mạnh hoàn toàn mới tiến hành bọc lại sứ mới để đảm bảo kết quả tốt nhất.
Tẩy trắng nội tủy
Phương pháp này áp dụng cho trường hợp đen viền nướu do cùi răng thật bên trong (đã chữa tủy) bị đổi màu và ánh đen ra ngoài qua lớp sứ hoặc vùng tụt lợi. Bác sĩ sẽ đặt thuốc tẩy trắng chuyên dụng vào bên trong ống tủy của răng để làm sáng màu mô răng từ bên trong, sau đó mới bọc lại mão sứ mới để che đi khuyết điểm.
Lựa chọn địa chỉ nha khoa uy tín
Việc khắc phục răng sứ hỏng khó hơn nhiều so với làm mới, đòi hỏi bác sĩ phải có tay nghề cao và công nghệ hỗ trợ đắc lực. Nha khoa Alisa tự hào là địa chỉ tin cậy giúp bạn “tái sinh” nụ cười với:
- Bác sĩ giỏi: 100% tốt nghiệp ĐH Y Hà Nội, đảm bảo kỹ thuật mài cùi, lấy dấu và lắp răng chính xác, không gây xâm phạm nướu.
- Trang thiết bị hiện đại: Sử dụng công nghệ CAD/CAM chế tác răng sứ chuẩn xác từng micromet, khít sát đường viền nướu.
- Vật liệu chính hãng: Cam kết sử dụng các dòng sứ toàn sứ cao cấp, có thẻ bảo hành chính hãng, nói không với sứ trôi nổi.

>>> Xem thêm: Bảng giá răng sứ thẩm mỹ mới nhất (2026)
Bí quyết ngăn ngừa đen viền nướu sau khi bọc răng sứ
Để duy trì vẻ đẹp và tuổi thọ của răng sứ, ngăn ngừa tình trạng thâm đen quay trở lại, bạn cần tuân thủ nghiêm ngặt các nguyên tắc sau:
- Ưu tiên răng toàn sứ: Ngay từ lần đầu thực hiện hoặc khi làm lại, hãy chọn các dòng răng toàn sứ (như Cercon, Emax, Nacera) để loại bỏ hoàn toàn nguy cơ đen viền nướu do oxy hóa kim loại.
- Vệ sinh đúng cách: Chải răng ít nhất 2 lần/ngày bằng bàn chải lông mềm. Chải dọc hoặc xoay tròn nhẹ nhàng, tuyệt đối không chải ngang để tránh tụt nướu và mòn cổ răng.
- Dụng cụ hỗ trợ: Sử dụng chỉ nha khoa và máy tăm nước để làm sạch kẽ răng, ngăn ngừa mảng bám tích tụ dưới viền nướu gây viêm.
- Chế độ ăn uống: Hạn chế thực phẩm quá cứng, dai, quá nóng hoặc quá lạnh. Tránh thực phẩm đậm màu (cà phê, trà) và đặc biệt là không hút thuốc lá.
- Khám định kỳ: Tái khám và lấy cao răng mỗi 6 tháng/lần để bác sĩ kiểm tra độ khít sát của viền nướu và phát hiện sớm các bất thường.

Câu hỏi thường gặp (FAQ)
Thay răng sứ bị đen viền nướu có đau không?
Quy trình thay răng sứ về cơ bản tương tự như lần bọc sứ đầu tiên. Trước khi thực hiện, bác sĩ thường sẽ gây tê cục bộ, nên bạn sẽ không cảm thấy đau đớn trong quá trình tháo mão cũ và mài chỉnh (nếu cần). Nếu có điều trị viêm nướu hoặc viêm tủy kèm theo, có thể sẽ có cảm giác ê ẩm nhẹ sau khi hết thuốc tê, nhưng hoàn toàn trong ngưỡng chịu đựng và có thể kiểm soát dễ dàng bằng thuốc giảm đau.
Chi phí bọc lại răng sứ hết bao nhiêu tiền?
Chi phí bọc lại răng sứ phụ thuộc chủ yếu vào loại răng sứ mới mà bạn lựa chọn và tình trạng bệnh lý đi kèm (nếu cần điều trị nướu hay chữa tủy lại).
- Các dòng răng toàn sứ chất lượng cao (không gây đen nướu) thường có giá dao động từ 3 – 5 triệu đồng/răng trở lên.
- Các dòng cao cấp hơn như Cercon HT, Nacera Pearl có thể có chi phí cao hơn do tính thẩm mỹ và độ bền vượt trội.
Bạn nên đến trực tiếp nha khoa để được tư vấn giá cụ thể dựa trên bảng giá niêm yết và các chương trình ưu đãi hiện hành.
Răng toàn sứ có bao giờ bị đen viền nướu không?
Về bản chất, răng toàn sứ chính hãng không bao giờ bị đen viền nướu do oxy hóa vì chúng không chứa kim loại. Tuy nhiên, nướu vẫn có thể bị thâm hoặc đen trong các trường hợp ngoại lệ như: Sử dụng phải răng toàn sứ giả, kém chất lượng; cùi răng thật bên trong bị sâu/chết tủy chuyển màu đen và ánh ra ngoài (đối với dòng sứ có độ trong quá cao); hoặc do vệ sinh kém gây viêm nướu nặng, làm nướu bị thâm đen do máu tụ và cao răng.
Răng sứ bị đen viền nướu là vấn đề cần được xử lý sớm để bảo vệ nụ cười và sức khỏe răng miệng lâu dài. Nếu để kéo dài, tình trạng này có thể ảnh hưởng đến thẩm mỹ và gây viêm nướu khó chịu. Đừng chần chừ, hãy liên hệ ngay với Nha khoa Alisa để được các bác sĩ thăm khám và tư vấn giải pháp khắc phục triệt để, giúp bạn lấy lại sự tự tin ngay hôm nay.
Thông tin liên hệ:
- 33 Nguyễn Phong Sắc, Cầu Giấy, Hà Nội
- Hotline: 0921.617.555
- cskh.alisadental@gmail.com
- Giờ làm việc: 8:30 đến 20:00
—————————————————————————————————————————–
Tham khảo thêm các bài viết:
- Bay từ Úc về Việt Nam làm răng. Vì sao anh Jaye lựa chọn Nha khoa Alisa?
- Top 5 phương pháp trồng răng hiện đại hàng đầu năm 2026
- Implant All On 4 và Implant All On 6 – Những điều cần biết
- Những điều cần chú ý sau khi cấy ghép implant
- Khi nào nên nhổ răng khôn? 5 trường hợp bắt buộc phải nhổ ngay

