Viêm nha chu được ví như “kẻ giết người thầm lặng” của hàm răng. Khác với sâu răng gây đau nhức ngay lập tức, bệnh lý này diễn tiến âm thầm nhưng là nguyên nhân số 1 gây mất răng ở người trưởng thành. Vậy thực chất viêm nha chu là gì? Dấu hiệu nhận biết và phác đồ điều trị ra sao để bảo tồn răng thật? Bài viết dưới đây từ các bác sĩ tại Nha khoa Alisa sẽ cung cấp kiến thức y khoa chuẩn xác nhất cho bạn.
Bệnh viêm nha chu là gì? Phân biệt với viêm nướu
Viêm nha chu là bệnh gì? Đây là tình trạng nhiễm trùng nướu nghiêm trọng làm tổn thương các mô mềm và phá hủy xương nâng đỡ răng. Đây là bệnh lý viêm mạn tính, thường bắt đầu từ việc vệ sinh răng miệng kém dẫn đến tích tụ mảng bám vi khuẩn.
Rất nhiều bệnh nhân nhầm lẫn giữa Viêm nướu và Viêm nha chu. Tuy nhiên, sự khác biệt cốt lõi nằm ở khả năng hồi phục. Viêm nướu thực chất chỉ là những tổn thương khu trú ở mô mềm, hoàn toàn có thể hồi phục nếu được vệ sinh và chăm sóc tốt. Ngược lại, Viêm nha chu là giai đoạn tiến triển nặng, khi vi khuẩn đã tấn công sâu xuống xương và dây chằng.
Những tổn thương mà viêm nha chu gây ra đối với xương ổ răng là không thể hồi phục, mục tiêu điều trị lúc này là ngăn chặn bệnh không nặng thêm chứ không thể trả lại cấu trúc nguyên vẹn như ban đầu.
Bảng phân biệt viêm nha chu và viêm nứu:
| Đặc điểm | Viêm nướu (Gingivitis) | Viêm nha chu (Periodontitis) |
| Phạm vi | Chỉ viêm ở đường viền nướu. | Lan xuống cấu trúc dưới nướu, tiêu xương hàm, dây chằng. |
| Tình trạng xương | Chưa tiêu xương, răng còn chắc. | Tiêu xương ổ răng, hình thành túi nha chu. |
| Khả năng hồi phục | Có thể hồi phục hoàn toàn. | Không thể hồi phục mô đã mất, chỉ có thể ngăn chặn tiến triển. |
>>> Xem thêm: Viêm nha chu là gì và nguy hiểm thế nào?
Dấu hiệu nhận biết viêm nha chu qua từng giai đoạn
Viêm nha chu mãn tính thường diễn tiến thầm lặng, không gây đau nhức dữ dội trong giai đoạn đầu nên dễ bị bỏ qua. Dưới đây là các dấu hiệu viêm nha chu điển hình giúp bạn tự chẩn đoán tại nhà:
Giai đoạn 1: Viêm nướu
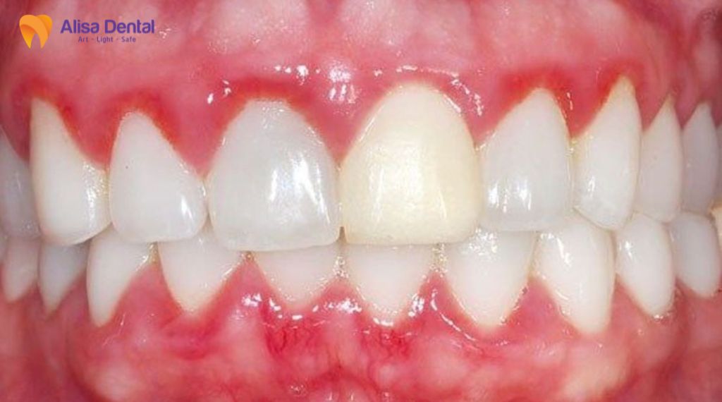
Đây là giai đoạn khởi phát và nhẹ nhất, thường bắt nguồn từ sự tích tụ mảng bám. Dấu hiệu dễ nhận thấy nhất là nướu chuyển từ màu hồng nhạt khỏe mạnh sang đỏ tươi, đỏ sẫm hoặc tím thẫm. Bên cạnh đó, tình trạng chảy máu nướu sẽ xuất hiện thường xuyên khi bạn đánh răng, dùng chỉ nha khoa hoặc ăn thức ăn cứng.
Lúc này, nướu sưng nề, mất đi độ săn chắc vốn có và cảm giác mềm nhũn khi chạm vào. Bạn cũng sẽ quan sát thấy nhiều cao răng bám quanh cổ răng, tạo môi trường cho vi khuẩn trú ngụ. Tuy nhiên, ở giai đoạn này răng chưa lung lay và bệnh hoàn toàn có thể chữa khỏi dứt điểm.

>>> Xem thêm: Nguyên nhân và cách điều trị nhanh viêm nướu răng
Giai đoạn 2: Viêm nha chu sớm
Nếu tình trạng viêm nướu không được can thiệp kịp thời, nhiễm trùng sẽ lan sâu xuống dưới, phá hủy sự liên kết sinh học giữa nướu và răng. Nướu bắt đầu tách khỏi thân răng, tạo thành các túi nha chu sâu (túi mủ giả) chứa đầy vi khuẩn và vụn thức ăn mà bàn chải thông thường không thể làm sạch tới.
Một dấu hiệu điển hình khác là hơi thở có mùi hôi khó chịu dai dẳng dù bạn đã đánh răng rất kỹ, nguyên nhân do vi khuẩn phân hủy thức ăn kẹt trong các túi nha chu. Đồng thời, quá trình tiêu xương ổ răng và phá hủy mô liên kết cũng bắt đầu diễn ra âm thầm.
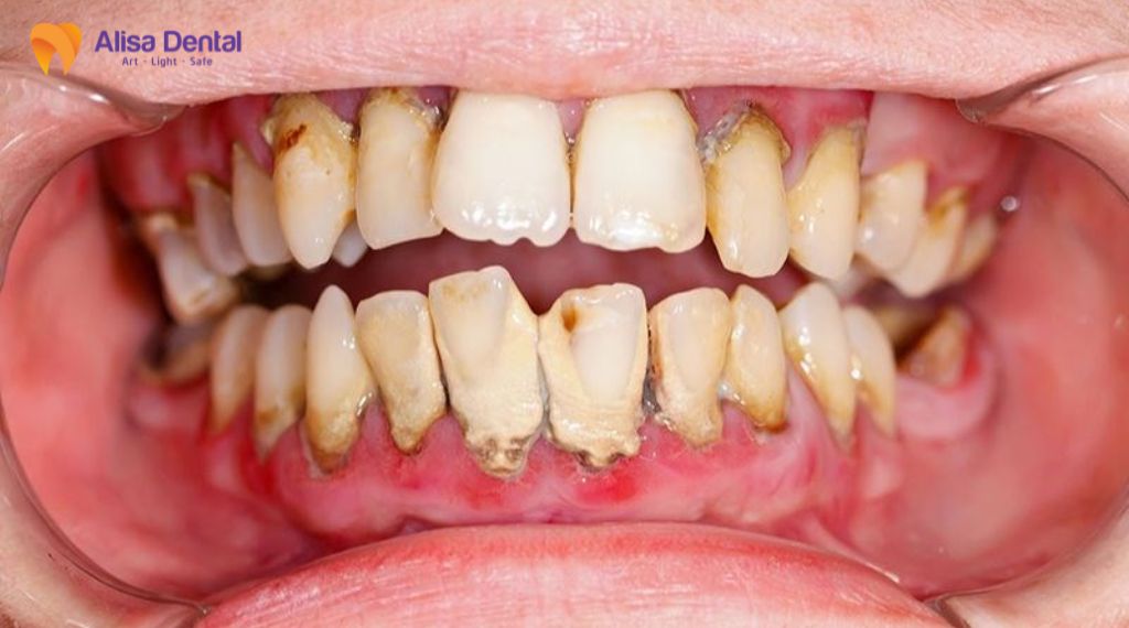
Giai đoạn 3: Viêm nha chu nặng
Đây là giai đoạn báo động đỏ với nguy cơ mất răng cực cao và những cơn đau đớn khó chịu. Biểu hiện rõ rệt nhất là tình trạng tụt nướu (tụt lợi) làm lộ chân răng, khiến răng trông dài ra bất thường và gây ê buốt khi ăn uống.
Do phần xương nâng đỡ bị tiêu hủy nghiêm trọng, răng trở nên lỏng lẻo, lung lay, di lệch hoặc xuất hiện các khoảng trống lớn (tam giác đen) giữa các răng. Nghiêm trọng hơn, bạn có thể thấy mủ trắng đục chảy ra ở kẽ giữa răng và nướu khi ấn nhẹ, kèm theo cảm giác sưng đau, ảnh hưởng nặng nề đến chức năng ăn nhai.

Nguyên nhân gây bệnh viêm nha chu là gì?
Viêm nha chu là hậu quả của quá trình viêm nhiễm kéo dài tại mô quanh răng, trong đó nguyên nhân gây viêm nha chu cốt lõi xuất phát từ vi khuẩn trong khoang miệng. Khi việc vệ sinh răng miệng không đúng cách hoặc không đầy đủ, vi khuẩn sẽ tích tụ, gây tổn thương nướu và xương ổ răng theo thời gian. Nếu không được kiểm soát sớm, tình trạng này có thể dẫn đến tiêu xương và mất răng vĩnh viễn.
Các nguyên nhân chi tiết bao gồm:

Viêm nha chu có nguy hiểm không? Biến chứng khôn lường
Nhiều người thắc mắc viêm nha chu có nguy hiểm không? Câu trả lời là CÓ. Đừng chủ quan vì nó không chỉ là bệnh răng miệng mà còn là “sát thủ thầm lặng” ảnh hưởng đến toàn bộ cơ thể.
Tại chỗ: Hủy hoại nụ cười và chức năng nhai
Hậu quả nặng nề nhất tại chỗ chính là mất răng vĩnh viễn. Khi xương ổ răng bị tiêu hủy, viêm nha chu răng làm răng không còn chỗ bám víu và rụng đi. Tiếp theo là tình trạng tiêu xương hàm, khiến má hóp lại, miệng móm mém, làm khuôn mặt già đi trước tuổi và gây khó khăn rất lớn cho việc trồng răng Implant sau này. Bên cạnh đó, bệnh còn có thể hình thành các ổ áp xe sưng đau dữ dội.
Toàn thân: Mối đe dọa sức khỏe tổng quát
Vi khuẩn từ túi nha chu có thể xâm nhập vào mạch máu và di chuyển đến các cơ quan xa, gây ra hàng loạt biến chứng. Chúng làm tăng nguy cơ mắc các bệnh tim mạch, xơ vữa động mạch và đột quỵ.
Đối với phụ nữ mang thai, viêm nha chu làm tăng nguy cơ sinh non và sinh con nhẹ cân. Bệnh cũng tạo ra vòng xoắn bệnh lý với bệnh tiểu đường, làm tăng kháng insulin khiến đường huyết khó kiểm soát. Nguy hiểm hơn, vi khuẩn có thể gây nhiễm trùng máu hoặc bị hít vào phổi gây viêm phổi và các bệnh hô hấp.

Các phương pháp điều trị viêm nha chu hiệu quả nhất
Vậy viêm nha chu có chữa được không? Bệnh có thể kiểm soát tốt nếu phát hiện sớm. Tùy vào mức độ nghiêm trọng, bác sĩ sẽ chỉ định phác đồ phù hợp.
Điều trị khẩn cấp
Phương pháp này được áp dụng khi bệnh nhân có khối áp xe sưng, mủ và đau nhức cấp tính. Bác sĩ sẽ chỉ định sử dụng thuốc kháng sinh và chống viêm để giảm sưng đau cấp tốc, đồng thời ngăn chặn nhiễm trùng lan rộng sang các vùng lân cận.
Điều trị không phẫu thuật (Giai đoạn nhẹ – trung bình)
Đây là cách điều trị viêm nha chu hiệu quả và phổ biến nhất, tập trung vào việc loại bỏ nguyên nhân gây bệnh. Kỹ thuật quan trọng nhất là Cạo vôi và xử lý mặt gốc răng (Scaling and Root Planing). Bác sĩ sẽ làm sạch sâu để loại bỏ vi khuẩn và độc tố bám dưới nướu, đồng thời làm láng mặt chân răng giúp nướu dễ dàng bám dính trở lại. Ngoài ra, việc dùng thuốc kháng sinh uống hoặc gel kháng sinh tại chỗ cũng được kết hợp để hỗ trợ diệt khuẩn.

Điều trị phẫu thuật (Giai đoạn nặng)
Khi bệnh tiến triển thành viêm nha chu nặng, túi nha chu quá sâu và tiêu xương nhiều, các biện pháp thông thường không còn hiệu quả. Bác sĩ có thể thực hiện phẫu thuật vạt (lật nướu) để làm sạch sâu chân răng và khâu lại chặt chẽ.
Trong trường hợp xương và mô nướu bị phá hủy quá nhiều, các kỹ thuật ghép xương hoặc ghép mô sẽ được áp dụng. Bác sĩ sử dụng vật liệu ghép hoặc huyết tương giàu tiểu cầu (PRP) để tái tạo lại cấu trúc nâng đỡ, giúp giữ lại răng thật cho bệnh nhân.

Cách phòng ngừa bệnh viêm nha chu tái phát
Viêm nha chu là bệnh lý mạn tính, có xu hướng quay trở lại nếu việc chăm sóc răng miệng không được duy trì đều đặn. Để giữ nướu khỏe mạnh và hạn chế nguy cơ tái phát, bạn cần xây dựng thói quen chăm sóc răng miệng khoa học kết hợp với kiểm soát tốt các yếu tố nguy cơ toàn thân.
- Chải răng ít nhất 2 lần/ngày, mỗi lần khoảng 2 phút, kết hợp dùng chỉ nha khoa hoặc bàn chải kẽ để loại bỏ mảng bám hiệu quả.
- Lấy cao răng và kiểm tra răng miệng định kỳ 3–6 tháng/lần để ngăn vi khuẩn tích tụ và phát hiện sớm bất thường.
- Duy trì lối sống lành mạnh, bỏ thuốc lá, hạn chế rượu bia và kiểm soát tốt bệnh nền như tiểu đường để giảm nguy cơ tái phát.
- Chăm sóc răng miệng đúng cách và tái khám định kỳ giúp ngăn viêm nha chu tái phát
Viêm nha chu là một bệnh lý phức tạp và nguy hiểm, nhưng hoàn toàn có thể phòng ngừa. Đừng đợi đến khi răng lung lay mới tìm đến bác sĩ, vì lúc đó chi phí điều trị sẽ rất cao và cơ hội giữ răng rất thấp. Nếu bạn đang có dấu hiệu chảy máu chân răng hay hôi miệng dai dẳng, hãy đến ngay Nha khoa Alisa để được thăm khám, tầm soát bệnh lý nha chu và điều trị kịp thời, bảo vệ nụ cười trọn vẹn của mình!
Thông tin liên hệ:
- 33 Nguyễn Phong Sắc, Cầu Giấy, Hà Nội
- Hotline: 0921.617.555
- cskh.alisadental@gmail.com
- Giờ làm việc: 8:30 đến 20:00
—————————————————————————————————————————–
Tham khảo thêm các bài viết:
- Bay từ Úc về Việt Nam làm răng. Vì sao anh Jaye lựa chọn Nha khoa Alisa?
- Top 5 phương pháp trồng răng hiện đại hàng đầu năm 2026
- Implant All On 4 và Implant All On 6 – Những điều cần biết
- Những điều cần chú ý sau khi cấy ghép implant
- Khi nào nên nhổ răng khôn? 5 trường hợp bắt buộc phải nhổ ngay

