Răng số 7, hay còn gọi là răng hàm lớn thứ hai, đóng vai trò then chốt trong việc nhai nghiền thức ăn và duy trì cấu trúc hàm mặt khỏe mạnh. Theo thống kê mới nhất từ Hiệp hội Nha khoa Việt Nam, khoảng 85% người trưởng thành gặp vấn đề về sâu răng số 7, trong đó 60% trường hợp phát hiện muộn dẫn đến biến chứng nghiêm trọng.
Vị trí đặc biệt của răng số 7 khiến việc vệ sinh trở nên khó khăn, đồng thời cấu trúc bề mặt phức tạp với nhiều rãnh sâu tạo điều kiện thuận lợi cho vi khuẩn tích tụ và phát triển. Điều này đặt ra thách thức lớn trong việc phòng ngừa và điều trị sâu răng hàm hiệu quả.

Nha khoa Alisa, với đội ngũ bác sĩ giàu kinh nghiệm cùng trang thiết bị hiện đại, đã và đang áp dụng các phương pháp điều trị tiên tiến nhất để giúp người bệnh khắc phục tình trạng sâu răng số 7, đảm bảo răng hàm khỏe mạnh lâu dài.
Tìm Hiểu Về Răng Số 7 Và Nguyên Nhân Gây Sâu Răng Hàm
Răng số 7 là răng hàm lớn thứ hai, mọc sau răng số 6 và trước răng số 8 (răng khôn). Mỗi hàm có 2 răng số 7, tổng cộng có 4 răng trong toàn bộ cung hàm. Răng thường mọc hoàn thiện trong độ tuổi từ 11-13, với cấu trúc bề mặt nhai phức tạp gồm nhiều múi và rãnh sâu.
Các nguyên nhân chính gây sâu răng số 7 có thể kể đến:
Vị trí khó tiếp cận
- Nằm sâu trong khoang miệng: Răng số 7 nằm ở khu vực gần cuối cung hàm nên gây ra sự khó khăn trong quá trình quan sát bằng mắt thường, không dễ để phát hiện dấu hiệu sớm như đốm sâu nhỏ. Ngoài ra nếu có tổn thương ở giai đoạn đầu, người bệnh thường không có cảm giác đau nên khó phát hiện răng bị sâu.
- Góc chải răng hạn chế: Nằm ở cuối cung hàm nên bàn chải thường khó tiếp cận toàn bộ, dễ bị bỏ sót mặt xa của răng, lực chải yếu và không đều nên dễ tạo điều kiện để vi khuẩn phát triển.
- Khó kiểm soát mảng bám và thức ăn tích tụ: Răng số 7 làm nhiệm vụ chính là nhai nên thức ăn thường bị dồn về phía này và dễ mắc kẹt. Thêm vị trí đặc thù nên nếu không sử dụng chỉ nha khoa hoặc tăm nước sẽ rất khó để loại bỏ thức ăn, mảng bám, tạo điều kiện thuận lợi để vi khuẩn phát triển.
Đặc điểm cấu tạo phức tạp
- Bề mặt nhai có nhiều rãnh sâu và hố: thức ăn dễ bị mắc kẹt tại đây và rất khó để làm sạch, tạo điều kiện để vi khuẩn phát triển.
- Khó làm sạch triệt để bằng bàn chải thông thường: Bởi bàn chải không thể len sâu vào rãnh nhỏ, chỉ có thể làm sạch bề mặt ngoài nếu không két hợp với chỉ nha khoa hoặc tăm nước. Do đó, thức ăn dễ bám lại ở răng, làm tăng nguy cơ bị sâu.

Thói quen sinh hoạt
Một số thói quen sinh hoạt xấu cũng là lí do gây ra tình trạng sâu răng số 7 như:
- Vệ sinh răng miệng không đúng cách hoặc không đều đặn: khiến cho mảng bám tích tụ dần, hình thành cao răng và làm tăng nguy cơ bị viêm lợi, sâu răng.
- Ăn nhiều thực phẩm giàu đường và tinh bột: Vi khuẩn phân hủy đường tạo ra axit làm mất khoáng men răng, hình thành lỗ sâu theo thời gian
- Thói quen nhai một bên dẫn đến tích tụ cao răng không đều
Yếu tố sinh học
Yếu tố sinh học cũng có những tác động không nhỏ làm tăng nguy cơ bị sâu răng số 7, cụ thể:
- Nước bọt có độ pH không cân bằng: Ở điều kiện thông thường, nước bọt có tác dụng giúp trung hòa axit và rửa trôi vi khuẩn. Tuy nhiên nếu nước bọt có độ pH không cần bằng hoặc ít tiết nước bọt khiến cho môi trường miệng có nhiều axit hơn, men răng dễ bị bào mòn nhanh hơn.
- Men răng yếu do di truyền: Một số người có men răng mỏng do di truyền hoặc cấu trúc men răng kém cũng sẽ dễ bị sâu răng hơn.
Các yếu tố khác
- Thiếu hụt canxi và vitamin D: Canxi và vitamin D là 2 chất quan trọng tham gia vào quá trình tái khoáng men răng. Nếu thiếu hụt 2 chất này trong thời gian dài dễ làm cho men răng bị yếu, tăng nguy cơ bị sâu răng.
- Sử dụng thuốc làm giảm tiết nước bọt: Một số loại thuốc như thuốc chống trầm cảm, thuốc huyết áp, dị ứng… có tác dụng phụ gây khô miệng, giảm tiết nước bọt và làm mất tác dụng bảo vệ tự nhiên của nước bọt.
- Bệnh lý toàn thân ảnh hưởng đến sức khỏe răng miệng như bệnh tiểu đường, trào ngược dạ dày hay rối loạn miễn dịch cũng làm tăng nguy cơ bị viêm nhiễm, sâu răng.
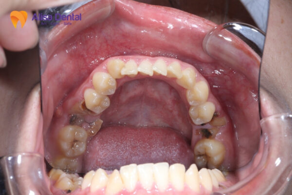
Dấu Hiệu Nhận Biết Sâu Răng Số 7 Sớm
Việc phát hiện sớm các dấu hiệu sâu răng số 7 là vô cùng quan trọng để có biện pháp điều trị kịp thời, tránh những biến chứng nghiêm trọng có thể xảy ra. Dưới đây là những dấu hiệu điển hình mà bạn cần chú ý:
Giai đoạn đầu của sâu răng
Sâu răng số 7 có thể nhận biết sớm ở giai đoạn đầu chỉ với các dấu hiệu sau
- Xuất hiện các đốm trắng đục hoặc nâu nhạt trên bề mặt răng. Các đốm này thường xuất hiện ở mặt nhai hoặc cổ răng.
- Men răng bắt đầu mất màu, có thể nhìn thấy vệt xỉn màu
- Cảm giác hơi ê buốt khi ăn đồ ngọt hoặc uống nước lạnh
- Bề mặt răng có cảm giác gồ ghề khi chạm vào bằng lưỡi
Giai đoạn sâu răng tiến triển
- Đau nhức khi nhai, đặc biệt khi ăn thực phẩm cứng
- Ê buốt rõ rệt khi tiếp xúc với thức ăn nóng lạnh
- Xuất hiện lỗ sâu có thể nhìn thấy bằng mắt thường
- Thức ăn thường xuyên bị mắc kẹt tại vùng răng bị sâu
- Hơi thở có mùi hôi bất thường
Giai đoạn sâu răng nặng
- Đau nhức dữ dội, có thể lan tỏa sang vùng má và tai
- Sưng nướu xung quanh răng bị sâu
- Có thể xuất hiện mủ và áp xe quanh chân răng
- Đau đột ngột vào ban đêm, ảnh hưởng đến giấc ngủ
- Khó khăn trong việc nhai và ăn uống
Điều quan trọng cần lưu ý là sâu răng số 7 thường khó phát hiện trong giai đoạn đầu do vị trí của răng nằm sâu trong khoang miệng. Nhiều người chỉ nhận ra khi răng đã bị sâu khá nặng và gây đau đớn. Do đó, việc khám răng định kỳ 6 tháng/lần tại các cơ sở nha khoa uy tín như Nha khoa Alisa là rất cần thiết để phát hiện sớm các vấn đề răng miệng.

Các Phương Pháp Chữa Sâu Răng Số 7 Hiệu Quả
Muốn điều trị sâu răng số 7 hiệu quả cần phải dựa vào tình trạng, mức độ sâu răng cụ thể của từng bệnh nhân. Với mỗi trường hợp, bác sĩ sẽ đề xuất các phương pháp điều trị phù hợp.
Trám răng composite cho sâu răng nhẹ
Với các trường hợp sâu nhẹ, không ảnh hưởng đến tủy răng, bác sĩ sẽ ưu tiên trám răng bằng vật liệu composite để bảo tồn tối đa mô răng tự nhiên. Việc trám răng sẽ giúp ổ viêm được kiểm soát, đồng thời tạo ra một lớp phủ bảo vệ bề mặt còn lại của răng, đảm bảo chức năng ăn nhai.
Các bác sĩ sẽ làm sạch vùng răng bị sâu, loại bỏ hết thức ăn, mảng bám ở lỗ sâu, sau đó sử dụng vật liệu composite cao cấp để trám vào khu vực bị sâu, tạo hình như răng thật. Thông thường một ca điều trị trám răng sẽ kéo dài từ 30 – 45 phút.
Đây là phương pháp phù hợp với đại đa số khách hàng, cũng là phương án tối ưu nhất về mặt chi phí, phù hợp trong giai đoạn sâu răng nhẹ.
Điều trị tủy cho sâu răng số 7
Đối với các trường hợp sâu răng số 7 nặng, gây ra tình trạng chết tủy, hướng điều trị của các bác sĩ là diệt tủy, sau đó phục hồi bằng trám hoặc bọc sứ để đảm bảo ổ viêm sâu không lan rộng, đồng thời giúp giữ lại răng tự nhiên, tránh phải nhổ bỏ răng thật.
Quy trình điều trị tủy được thực hiện như sau:
- Lấy sạch tủy răng bị viêm nhiễm
- Tạo hình và hàn kín ống tủy
- Phục hồi thân răng bằng trám hoặc bọc sứ
Do phải làm sạch tủy và phục hồi răng nên thời gian điều trị thường kéo dài từ 1 – 2 ngày. Với những ca phức tạp, thời gian điều trị có thể sẽ kéo dài hơn tùy thuộc vào chẩn đoán từ bác sĩ.
Bọc răng sứ cho trường hợp nặng
Đối với những trường hợp sâu nặng hoàn toàn có thể cân nhắc bọc răng sứ. Phương pháp này vừa giúp đảm bảo chức năng ăn nhai, tránh ổ viêm lan rộng đồng thời đảm bảo tính thẩm mỹ. Một chiếc răng sứ nếu bảo quản tốt hoàn toàn có thể có tuổi thọ lên đến 15 – 20 năm.
Tại Nha khoa Alisa, khách hàng sẽ có cơ hội được trải nghiệm công nghệ CAD/CAM hiện đại. Ngoài ra còn có thể lựa chj rất nhiều mẫu răng sứ phù hợp như Zircona, E.max…

Phòng Ngừa Sâu Răng Số 7 Và Bảo Vệ Răng Hàm Khỏe Mạnh
Để phòng ngừa sâu răng số 7 hiệu quả, bạn cần thực hiện các biện pháp bảo vệ toàn diện. Đầu tiên, việc vệ sinh răng miệng đúng cách là vô cùng quan trọng. Khi đánh răng, hãy chú ý chải kỹ vùng răng hàm với góc nghiêng bàn chải 45 độ, kết hợp chải theo chiều dọc để loại bỏ mảng bám trong các rãnh sâu.
Sử dụng chỉ nha khoa hàng ngày giúp làm sạch các kẽ răng khó tiếp cận. Nên chọn kem đánh răng có含 fluor để tăng cường bảo vệ men răng. Bổ sung nước súc miệng diệt khuẩn cũng là biện pháp hỗ trợ tích cực.
Về chế độ ăn uống, hạn chế đồ ngọt và thực phẩm dính răng. Nên súc miệng ngay sau khi ăn và đợi 30 phút mới đánh răng để tránh làm mòn men răng. Đặc biệt quan trọng là thăm khám nha khoa định kỳ 6 tháng/lần để phát hiện sớm các vấn đề răng miệng.
Đội Ngũ Bác Sĩ Và Cơ Sở Vật Chất Tại Nha Khoa Alisa
Nha khoa Alisa tự hào với đội ngũ bác sĩ giàu kinh nghiệm, được đào tạo chuyên sâu về nha khoa tại các trường đại học uy tín trong và ngoài nước. Các bác sĩ thường xuyên cập nhật kiến thức, kỹ thuật điều trị mới nhất trong lĩnh vực chữa sâu răng.
Cơ sở vật chất hiện đại với hệ thống máy chụp X-quang 3D Cone Beam, ghế nha khoa công nghệ Đức, đảm bảo quá trình điều trị chính xác và thoải mái nhất cho bệnh nhân. Phòng tiệt trùng đạt chuẩn quốc tế, sử dụng vật liệu nhập khẩu chất lượng cao.
Khách hàng điều trị tại Alisa đều đánh giá cao về chất lượng dịch vụ, sự tận tâm của đội ngũ y bác sĩ và kết quả điều trị bền vững. Chúng tôi cam kết mang đến dịch vụ chăm sóc răng miệng tốt nhất với chi phí hợp lý. Đó cũng là lí do rất nhiều khách hàng lựa chọn Nha khoa Alisa là địa điểm tin cậy để điều trị sâu răng số 7.
Tham khảo:
- Điều trị sâu chân răng số 7 trước khi nghiêm trọng
Điều trị tủy răng: Giải pháp cứu cánh cho răng bị viêm nhiễm
KẾT BÀI
Sâu răng số 7 là vấn đề răng miệng phổ biến nhưng không nên chủ quan. Phát hiện và điều trị kịp thời không chỉ giúp bảo tồn răng tự nhiên mà còn ngăn ngừa các biến chứng nguy hiểm có thể ảnh hưởng đến sức khỏe tổng thể.
Hãy chủ động bảo vệ răng miệng thông qua việc vệ sinh đúng cách, duy trì chế độ ăn uống lành mạnh và thăm khám định kỳ. Nha khoa Alisa luôn sẵn sàng đồng hành cùng bạn trên hành trình chăm sóc răng miệng với dịch vụ chất lượng cao và chi phí phù hợp.
Địa chỉ: 33 Nguyễn Phong Sắc, Cầu Giấy Hà Nội
Điện thoại: 092.1617.555
Website: Alisadental.com
Facebook: https://www.facebook.com/nhakhoaAlisa.HN

