Gingivitis is a common oral condition in which the gum tissue around the teeth becomes inflamed. It is mainly caused by the long-term buildup of bacterial plaque on the teeth. As the earliest stage of periodontal disease, gingivitis can usually be reversed with proper oral care. However, if left untreated, it may progress to periodontitis, a more serious condition that can lead to gum recession and even tooth loss. So, what causes gingivitis, how can you recognize the warning signs, and which treatment methods are most effective? Alisa will answer all of these questions in the article below.
Gingivitis is a condition in which the gum tissue surrounding the teeth becomes inflamed, primarily caused by bacterial plaque that has accumulated on the teeth over time. It is the earliest stage of periodontal disease, one that can be fully reversed with proper oral hygiene, but if left untreated, it can progress into serious periodontitis, leading to gum recession and tooth loss. So why does gingivitis occur, how can you recognize its signs, and what treatment methods are most effective? Alisa Dental will answer all of your questions in the article below.
What Is Gingivitis?
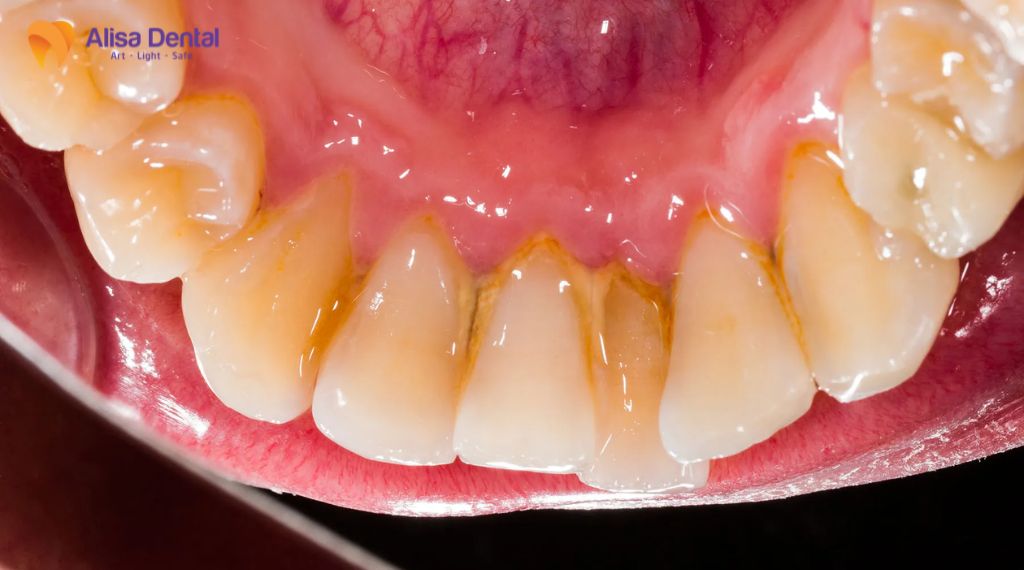
Gingivitis is the inflammation of the gums around the teeth. When gingivitis occurs, the gums may become red, swollen, and bleed easily, especially when brushing or flossing. It is considered the earliest stage of gum disease and is usually caused by plaque on teeth and along the gum line.
At this stage, the infection only affects the gum tissue and has not yet damaged the bone or supporting structures that hold the teeth in place. Because of this, gingivitis is reversible with proper oral hygiene and early treatment. Many people believe that bleeding gums are normal, but healthy gums should not bleed, this is often the first warning sign of gingivitis that should not be ignored.

Main Symptoms of Gingivitis
Healthy gums are usually firm, pale pink, and fit closely around the teeth. When gingivitis begins, the gums change in appearance and sensitivity. Recognizing these early signs can help prevent the condition from becoming more serious. Common signs and symptoms of gingivitis include:
- Gums that appear swollen or slightly puffy
- Gums turning bright red, dark red, or darker than their normal color
- Gums that bleed easily when brushing or flossing
- Increased gum to hot or cold foods
- Persistent bad breath that does not improve easily
What Causes Gingivitis?
However, gingivitis does not develop overnight. It usually begins with bacterial plaque and gradually worsens when daily oral care is done incorrectl. Understanding the underlying causes can help you prevent gum inflammation early and protect your long-term oral health.
Plaque Accumulation
The most common cause of gingivitis is the gradual buildup of plaque along the gumline. Plaque is a thin, sticky, colorless film of bacteria that forms on the teeth throughout the day especially after consuming sugary or starchy foods. If it is not removed regularly through brushing and flossing, bacteria in plaque can irritate the surrounding gum tissue and trigger inflammation.
As plaque remains on the teeth, it can harden into tartar (also known as calculus). Unlike plaque, tartar cannot be cleaned away with normal brushing and usually requires professional dental scaling. Its rough surface allows more bacteria to attach easily, which can worsen gum irritation and make the early stage of gum disease progress more quickly.

Other Contributing Factors
Besides plaque, several other factors can increase the risk of developing gingivitis. These factors may either encourage bacterial growth or weaken the body’s natural defense against infection. Common risk factors include:
- Inadequate oral hygiene, such as irregular brushing or skipping dental floss
- Using tobacco products, such as smoking or chewing tobacco
- Health conditions like diabetes that affect the immune response
- Hormonal changes during puberty, menstruation, or pregnancy
- Certain medications that reduce saliva production and lead to a dry mouth
When these conditions occur together with plaque buildup, the chances of gum inflammation can increase significantly.

How gingivitis affects different age groups
Gingivitis can occur at any age, but the causes and risk factors often vary depending on a person’s life stage. Understanding these differences helps people take better care of their gums and prevent early gum disease.
Children and Teenagers
In children and teenagers, gingivitis often develops because of:
- Inconsistent brushing habits
- High consumption of sweets, milk tea, and soft drinks
- Use of braces or dental orthodontic equipment
Hormonal changes during puberty can also make gums more sensitive to plaque. Gums may swell and bleed even when there is only a small amount of bacteria. Teaching correct brushing techniques early and guiding children to floss are very important.
Adults
Adults are the group most commonly affected by gingivitis. Busy schedules, stress, smoking, and skipped dental visits are common causes of gingivitis. Many adults only visit the dentist when they feel pain. Unfortunately, gingivitis rarely causes pain in the early stage. This delay allows gum inflammation to continue silently.

Older Adults
Older adults often face additional oral health challenges that can increase the risk of gingivitis. Age-related changes, along with certain medical conditions or medications, may make daily oral care more difficult. Common factors include:
- Dry mouth caused by long-term medication use
- Reduced hand strength or dexterity, which can make brushing and flossing harder
Because of these factors, regular dental checkups and professional cleanings become especially important for older adults to keep their gums healthy and prevent gum disease from progressing.
Treatment methods for gingivitis
Gingivitis treatment focuses on removing plaque, reducing inflammation, and improving daily oral care habits.
Professional Dental Care
This process usually includes the following steps:
- Scaling: Removing plaque and tartar from above and below the gum line. Once these irritants are eliminated, the gums can naturally begin to heal.
- Polishing: The dentist may use a dental brush or rubber cup attached to a dental handpiece to polish the tooth surface, making it smoother and more resistant to plaque buildup. This helps maintain long-term results and prevents further gum disease.
- Adjustment of dental work: Correcting misaligned teeth or poorly fitted crowns, fillings, or bridges to reduce gum irritation and limit bacterial accumulation.

At-Home Care for Reversal
Daily oral hygiene is essential for reversing gingivitis and preventing it from returning. When patients follow proper oral care routines consistently, gum inflammation and bleeding can often improve within a few weeks. Recommended home care practices include:
Daily oral hygiene is essential to control plaque and reverse gingivitis. With proper care, symptoms like gum inflammation and bleeding can improve within a few weeks. You can maintain your oral health at home by:
- Brushing your teeth twice a day with a soft-bristled toothbrush
- Using dental floss to remove plaque and food between teeth
- Using mouthwash as recommended by your dentist
- Visiting your dentist regularly and having professional cleaning every 6 months
How to Prevent Gingivitis
Preventing gingivitis starts with maintaining consistent oral hygiene habits and a healthy lifestyle. With the right daily routines, you can effectively reduce plaque buildup, protect your gums, and avoid the early stages of gum disease.
- Eat a balanced diet: Include plenty of vegetables, fruits, and fiber-rich foods. These provide essential vitamins (especially vitamin C) that help strengthen gum tissue and support the body’s natural healing process.
- Stay hydrated: Drinking enough water throughout the day helps maintain saliva flow, which plays an important role in washing away food particles and neutralizing harmful bacteria in the mouth.
- Avoid smoking or tobacco use: Smoking can weaken the immune response in gum tissue, making it harder for your body to fight infection and slowing down the healing process.

Frequently Asked Questions
Is gingivitis dangerous?
Gingivitis is considered a mild form of gum disease, but it should not be ignored. If left untreated, the inflammation can progress into periodontitis, a more serious condition that may damage the gums and supporting bone.
Can gingivitis go away by itself?
Gingivitis may improve when oral hygiene habits are significantly improved, such as brushing and flossing regularly. However, professional dental cleaning is usually recommended to remove plaque and tartar effectively.
How long does recovery take?
With proper treatment and consistent daily oral care, most people notice improvement in gum health within one to two weeks.
This article is intended for informational purposes and should not replace professional dental advice. If you experience symptoms such as bleeding gums, pain, or swelling, consult a qualified dentist at Alisa Dental or another licensed clinic for proper diagnosis and treatment.

