Tiêu xương hàm là gì? Đây là một biến chứng nha khoa diễn ra âm thầm nhưng để lại hậu quả nghiêm trọng nếu không được phát hiện sớm. Tình trạng này không chỉ ảnh hưởng đến khả năng ăn nhai mà còn làm thay đổi cấu trúc khuôn mặt. Nhiều người thường chủ quan cho đến khi xuất hiện dấu hiệu ngoài mặt. Vì vậy, việc hiểu đúng và can thiệp kịp thời đóng vai trò rất quan trọng trong bảo vệ sức khỏe răng miệng.
Tiêu xương hàm là gì? Định nghĩa từ chuyên gia
Tiêu xương hàm (hay còn gọi là tiêu xương ổ răng) là tình trạng suy giảm về kích thước, chiều cao, thể tích và mật độ của khối xương bao bọc quanh chân răng. Xương hàm bao gồm xương ổ răng và xương nền, đóng vai trò làm điểm tựa vững chắc để chân răng bám trụ, giúp thực hiện chức năng ăn nhai và định hình cấu trúc khuôn mặt.
Về cơ chế sinh học, xương hàm là loại mô sống luôn diễn ra quá trình tái tạo. Sự phát triển và duy trì mật độ của xương hàm phụ thuộc rất nhiều vào lực tác động từ việc ăn nhai hàng ngày. Khi chúng ta nhai, lực từ răng truyền qua chân răng xuống xương ổ răng, kích thích các tế bào tạo xương hoạt động.
Tuy nhiên, khi răng bị mất đi hoặc bị viêm nhiễm nặng, lực nhai này biến mất, khiến các tế bào hủy xương hoạt động mạnh mẽ hơn tế bào tạo xương. Sự mất cân bằng này làm cho phần xương ổ răng vốn mềm xốp dần bị phá hủy, thoái hóa và tiêu biến theo thời gian. Đây là một tiến trình tự nhiên nhưng mang tính hủy hoại nếu không được can thiệp kịp thời.

4 dạng tiêu xương hàm thường gặp nhất
Tùy thuộc vào vị trí mất răng, thời gian mất răng và cơ địa của mỗi người, tiêu xương hàm thường biểu hiện qua 4 dạng chính sau:
- Tiêu xương hàm theo chiều ngang: Đây là dạng phổ biến nhất. Bề rộng của xương hàm tại vị trí mất răng bị thu hẹp teo lại. Khi xương tại vị trí đó tiêu đi, khu vực xương kế cận sẽ có xu hướng giãn ra và lấn sang khoảng trống này, làm các răng bên cạnh mất đi điểm tựa, dẫn đến tình trạng nghiêng ngả và đổ về phía khoảng trống mất răng.
- Tiêu xương hàm theo chiều dọc: Ở dạng này, vùng xương hàm nằm dưới nướu bị tiêu biến khiến độ cao của xương thấp hơn hẳn so với vùng xương xung quanh. Phần xương bị lõm sâu xuống kéo theo phần nướu tại đây cũng bị teo nhỏ lại, tạo thành những vùng trũng gây mất thẩm mỹ và khó khăn cho việc phục hình.
- Tiêu xương khu vực xoang hàm: Đây là tình trạng đặc thù xảy ra khi mất răng ở hàm trên. Các đỉnh xoang bắt đầu hạ thấp và tụt xuống do không còn xương nâng đỡ. Kéo dài lâu ngày, xoang mở rộng và làm xương hàm từ bên trong, khiến xương không còn đủ chiều cao để giữ vững trụ Implant nếu bệnh nhân muốn trồng răng sau này.
- Tiêu xương toàn bộ khuôn mặt: Đây là tình trạng nghiêm trọng nhất, thường xảy ra ở những người mất nhiều răng hoặc mất răng toàn hàm trên cả hai phía. Khi đó, toàn bộ cấu trúc xương nâng đỡ cơ mặt bị sụt giảm, khiến khuôn miệng móp vào, cằm đưa ra trước hoặc lệch sang bên.
Nguyên nhân phổ biến dẫn đến tiêu xương hàm
Có nhiều yếu tố dẫn đến tình trạng suy giảm mật độ xương, nhưng tựu trung lại thường nằm ở 3 nhóm nguyên nhân chính dưới đây:
Mất răng lâu ngày
Đây là nguyên nhân trực tiếp và phổ biến nhất. Khi một chiếc răng mất đi, vùng xương tại đó hoàn toàn không còn chịu tác động kích thích từ lực nhai. Quá trình tiêu biến diễn ra vô cùng nhanh chóng:
- Chỉ sau khoảng 3 tháng mất răng, mật độ xương đã bắt đầu có sự suy giảm rõ rệt.
- Từ 1 đến 3 năm sau, nếu không được trồng răng thay thế, xương hàm có thể tiêu biến tới 45% – 60%.
- Càng để lâu, diện tích xương càng thu hẹp, khiến việc phục hồi trở nên cực kỳ khó khăn.

Bệnh viêm nha chu và viêm nướu kéo dài
Không cần phải mất răng thì xương mới tiêu. Viêm nha chu là “kẻ sát nhân thầm lặng” phá hủy xương hàm từ bên trong. Sự tích tụ lâu ngày của mảng bám và cao răng tạo môi trường lý tưởng cho vi khuẩn sinh sôi, gây viêm nhiễm mô nướu và làm đứt gãy dây chằng nha chu.
Khi bệnh chuyển sang giai đoạn nặng, vi khuẩn tiếp tục tấn công xuống dưới, phá hủy cấu trúc xương ổ răng và dẫn đến tình trạng tiêu xương bệnh lý. Ở trường hợp này, dù răng vẫn còn trên hàm nhưng phần xương nâng đỡ đã bị mủn và tiêu biến, khiến răng dần lung lay và cuối cùng là tự rụng.
Hệ lụy từ việc dùng hàm giả tháo lắp hoặc cầu răng sứ lâu năm
Nhiều người lầm tưởng rằng làm hàm giả hoặc cầu răng sứ đã là giải pháp hoàn thiện. Tuy nhiên, các phương pháp này thực tế chỉ khôi phục được phần thân răng phía trên bề mặt nướu nhằm mục đích thẩm mỹ và một phần chức năng ăn nhai. Chúng hoàn toàn không thay thế được chân răng nằm trong xương hàm.
Do không có chân răng để truyền tải lực nhai kích thích xuống xương, tình trạng teo xương vẫn diễn ra bình thường bên dưới các cầu răng sứ hay hàm tháo lắp. Thậm chí, dưới lực ép trực tiếp của hàm giả khi ăn nhai lên nướu, quá trình tiêu xương còn có thể bị đẩy nhanh hơn do áp lực cơ học không đúng cách.

>>> Xem thêm: Tiêu xương khi niềng răng? Nguyên nhân là gì và khắc phục ra sao?
Dấu hiệu nhận biết tiêu xương hàm sớm nhất
Vì tiêu xương hàm diễn ra bên dưới mô nướu nên rất khó để nhận biết bằng mắt thường ở giai đoạn đầu. Tuy nhiên, bạn có thể tự kiểm tra tại nhà và chú ý đến các biểu hiện lâm sàng sau đây:
Biến dạng thẩm mỹ khuôn mặt
Răng có hiện tượng xô lệch, lung lay hoặc sai khớp cắn
Khi xương ổ răng bị tiêu, các răng lân cận sẽ có xu hướng nghiêng đổ hoặc di chuyển về phía khoảng trống. Điều này gây ra sự xáo trộn toàn bộ cung hàm, dẫn đến sai lệch khớp cắn. Bạn sẽ thấy lực nhai giảm, răng yếu đi, dễ đau khi ăn đồ cứng và dễ lung lay do nền xương suy yếu.

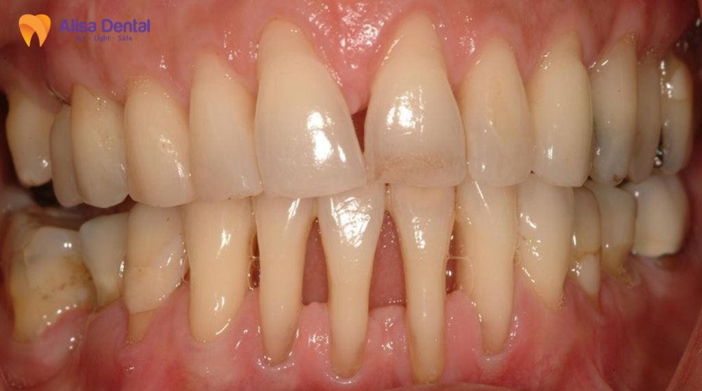
Tụt nướu và lộ chân răng rõ rệt
Đây là dấu hiệu dễ quan sát nhất. Vùng nướu ở vị trí xương bị tiêu sẽ dần teo đi và tụt xuống thấp. Khi nướu tụt, thân răng sẽ lộ ra dài hơn bình thường, thậm chí cả chân răng cũng bị lộ. Tình trạng này gây mất thẩm mỹ và khiến răng ê buốt khi ăn đồ nóng lạnh do chân răng nhạy cảm không còn được bảo vệ.
>>> Xem thêm: Tụt nướu là gì? Dấu hiệu, nguyên nhân & Cách khắc phục an toàn
Tiêu xương hàm có nguy hiểm không? Những hệ lụy khôn lường
- Suy giảm trầm trọng chức năng ăn nhai: Việc các răng xô lệch, lung lay khiến khớp cắn bị sai lệch hoàn toàn. Ăn nhai trở nên khó khăn. Người bệnh không thể nghiền nát thức ăn hiệu quả. Điều này dễ dẫn đến các vấn đề tiêu hóa như đau dạ dày hoặc đại tràng. Thậm chí, lực nhai không đều còn làm tăng nguy cơ gãy rụng ở các răng còn lại.
- Ảnh hưởng đến thẩm mỹ: Khuôn mặt già nua, móm mém do tiêu xương hàm khiến nhiều người trở nên tự ti, ngại giao tiếp. Sự thay đổi diện mạo này thường rất khó cứu vãn nếu không được can thiệp sâu về y khoa.
- Khó khăn cho phục hình sau này: Đây là hệ lụy thực tế nhất về mặt kinh tế. Khi mật độ, độ dày và chiều cao xương hàm giảm, xương sẽ không đủ điều kiện giữ trụ Implant. Nếu trồng răng lúc này, bác sĩ cần thực hiện thêm các thủ thuật như ghép xương hoặc nâng xoang. Điều này khiến thời gian điều trị kéo dài và chi phí tăng cao.

Các phương pháp điều trị tiêu xương hàm hiện nay
Phẫu thuật ghép xương hàm
- Xương tự thân: Lấy từ các vị trí khác trên cơ thể người bệnh (như xương chậu, xương cằm). Loại này có độ tương thích cao nhất nhưng đòi hỏi thực hiện thêm một vùng phẫu thuật khác.
- Xương nhân tạo: Là các loại bột xương sinh học chuyên dụng. Sau khi cấy vào, chúng sẽ tạo khung để xương thật tự sản sinh và tích hợp vào.
Quá trình này nhằm tái tạo lại thể tích ổ răng, đảm bảo trụ Implant sau này có thể đứng vững và tích hợp xương tốt.

Kỹ thuật nâng xoang
Như đã đề cập, mất răng hàm trên lâu ngày dẫn đến tình trạng xoang hàm hạ thấp.

Trồng răng Implant – Giải pháp ngăn chặn tiêu xương hiệu quả
Đây được xem là giải pháp cốt lõi trong nha khoa hiện đại. Trồng răng Implant không chỉ phục hồi răng đã mất mà còn giúp ngăn chặn tiêu xương hàm. Bác sĩ sẽ cấy trực tiếp một trụ Titanium vào xương hàm, đóng vai trò như chân răng thật.
Nhờ cơ chế tích hợp xương, trụ Implant truyền lực nhai xuống xương hàm mỗi ngày. Lực này giúp kích thích tế bào xương phát triển. Nhờ đó, mật độ xương được duy trì ổn định. Khi trụ đã tích hợp vững chắc, bác sĩ sẽ gắn khớp nối Abutment và mão răng sứ lên trên. Chiếc răng mới được hoàn thiện, đảm bảo cả chức năng và thẩm mỹ.
Cách phòng ngừa tiêu xương hàm
Biện pháp hiệu quả và tiết kiệm nhất là cấy ghép Implant sớm sau khi mất răng. Việc thay thế kịp thời chân răng giúp duy trì lực nhai ổn định. Lực này tiếp tục kích thích tế bào xương phát triển. Nhờ đó, thể tích xương hàm được bảo tồn tự nhiên. Thời điểm phù hợp thường là từ 1 đến 3 tháng sau khi nhổ răng.
Bên cạnh đó, để bảo vệ xương hàm khi vẫn còn răng, bạn cần:
- Đánh răng 2 lần/ngày, sử dụng chỉ nha khoa và nước súc miệng để loại bỏ mảng bám.
- Khám răng định kỳ 6 tháng/lần, lấy cao răng định kỳ phòng ngừa các bệnh nha chu.
- Không nên chủ quan với các dấu hiệu chảy máu chân răng hay nướu sưng đỏ.

Tiêu xương hàm là vấn đề không nên xem nhẹ vì càng phát hiện muộn, việc điều trị càng phức tạp và tốn kém. Do đó, ngay khi có dấu hiệu bất thường hoặc sau khi mất răng, bạn nên chủ động thăm khám sớm tại các cơ sở nha khoa uy tín như Nha Khoa Alisa để được kiểm tra và tư vấn kịp thời. Chăm sóc răng miệng đúng cách hôm nay chính là nền tảng giúp bạn duy trì nụ cười khỏe đẹp và sự tự tin lâu dài.
Thông tin liên hệ:
- 33 Nguyễn Phong Sắc, Cầu Giấy, Hà Nội
- Hotline: 0921.617.555
- cskh.alisadental@gmail.com
- Giờ làm việc: 8:30 đến 20:00

