Tụt nướu là tình trạng nướu răng co rút, làm lộ chân răng, gây ê buốt và tăng nguy cơ viêm nha chu nếu không xử lý kịp thời. Bài viết dưới đây sẽ giúp bạn nhận biết dấu hiệu tụt nướu, làm rõ nguyên nhân phổ biến như tụt nướu do đánh răng mạnh, viêm nha chu, đồng thời hướng dẫn cách chữa tụt nướu tại nhà và các phương pháp điều trị an toàn, hiệu quả hiện nay.
Tụt nướu (Tụt lợi) là gì? Dấu hiệu nhận biết
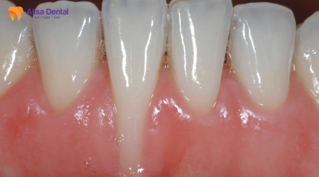
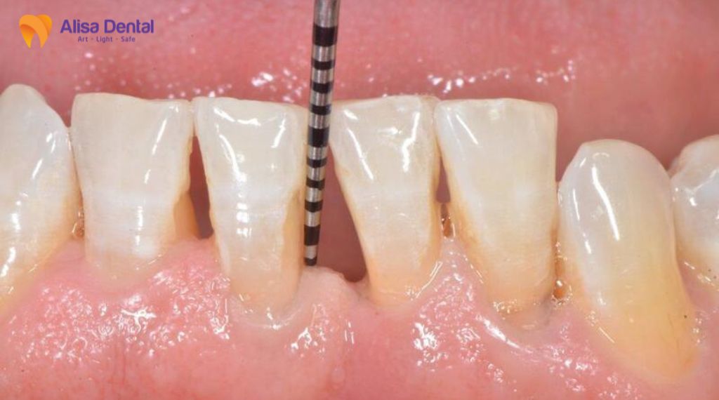
Tụt nướu (tụt lợi) là tình trạng mô nướu bao bọc quanh răng bị co rút và dịch chuyển dần về phía chân răng, làm lộ phần thân răng hoặc cổ răng ra bên ngoài. Hiện tượng này có thể chỉ xuất hiện ở một vài răng riêng lẻ, nhưng cũng có trường hợp lan rộng, ảnh hưởng đến nhiều răng trên cả hàm nếu không được kiểm soát kịp thời.
Tình trạng tụt lợi có thể gặp ở mọi lứa tuổi và tiềm ẩn nhiều rủi ro cho sức khỏe răng miệng. Khi nướu bị rút xuống, lớp men bảo vệ dễ bị mài mòn, ngà răng bị lộ ra, tạo điều kiện cho vi khuẩn xâm nhập sâu vào chân răng. Hậu quả là răng trở nên nhạy cảm, dễ ê buốt khi ăn đồ nóng, lạnh, chua hoặc ngọt, đồng thời thức ăn và mảng bám cũng dễ tích tụ quanh chân răng hơn.
Các dấu hiệu thường gặp của tụt nướu gồm:
- Nướu dễ chảy máu, đặc biệt khi đánh răng hoặc dùng chỉ nha khoa
- Hơi thở có mùi hôi kéo dài dù đã vệ sinh răng miệng
- Vùng nướu quanh răng sưng đỏ, đau hoặc khó chịu
- Chân răng lộ rõ, răng trở nên nhạy cảm và ê buốt
- Răng có dấu hiệu lung lay, không còn chắc khỏe như trước
- Phần nướu bị rút xuống, khiến răng trông dài hơn bình thường

Nguyên nhân gây tụt nướu phổ biến
Tụt nướu có thể xuất phát từ nhiều yếu tố khác nhau, liên quan đến cả thói quen sinh hoạt lẫn tình trạng sức khỏe răng miệng. Việc nhận diện đúng nguyên nhân tụt nướu sẽ giúp bạn chủ động phòng tránh và điều trị kịp thời, đặc biệt trong những trường hợp tụt nướu ở người trẻ đang có xu hướng gia tăng do chăm sóc răng miệng chưa đúng cách.
Do thói quen chăm sóc răng miệng sai cách
Một trong những nguyên nhân thường gặp là tụt nướu do đánh răng mạnh. Việc chải răng theo chiều ngang, dùng bàn chải lông cứng hoặc tạo lực quá mạnh trong thời gian dài có thể làm mòn men răng và khiến mô nướu bị tổn thương, co rút dần theo thời gian.
Do bệnh lý nha khoa
Các vấn đề nha khoa như viêm nướu, viêm nha chu hay cao răng tích tụ lâu ngày là nguyên nhân thường gặp khiến nướu bị tổn thương và suy yếu. Trong đó, tụt nướu do viêm nha chu xảy ra khi vi khuẩn phát triển mạnh dưới đường viền nướu, làm phá hủy mô nướu và xương ổ răng, khiến nướu co rút dần và để lộ tụt nướu chân răng rõ rệt theo thời gian.

Do cấu trúc răng
Răng mọc lệch, chen chúc hoặc khớp cắn sai làm lực nhai phân bố không đều, tạo áp lực liên tục lên một số vùng nướu nhất định. Lâu dần, những khu vực chịu lực quá mức sẽ dễ xảy ra hiện tượng co nướu và tụt nướu cục bộ.
Các yếu tố khác
Ngoài ra, tụt nướu còn có thể liên quan đến yếu tố di truyền, thay đổi nội tiết tố (đặc biệt ở nữ giới), thói quen hút thuốc lá hoặc các tác động cơ học như xỏ khuyên môi, lưỡi gây kích ứng mô nướu trong thời gian dài.
Các phương pháp điều trị tụt nướu hiệu quả nhất hiện nay
Nhiều người băn khoăn tụt nướu răng phải làm sao và tụt nướu có chữa được không khi nhận thấy chân răng ngày càng lộ rõ. Trên thực tế, khả năng điều trị phụ thuộc vào mức độ nặng nhẹ của tình trạng tụt nướu và thời điểm can thiệp. Nếu được phát hiện sớm và xử lý đúng cách, nướu có thể được kiểm soát tốt, hạn chế tiến triển và bảo vệ răng lâu dài.
Tụt nướu nhẹ
Ở giai đoạn nhẹ, tụt nướu thường chỉ xuất hiện tại một vài răng, phần chân răng lộ không nhiều và mô nướu vẫn còn khả năng bám dính. Lúc này, bác sĩ sẽ tiến hành làm sạch cao răng, loại bỏ mảng bám và kiểm soát viêm. Người bệnh có thể sử dụng các cách chữa tụt nướu tại nhà như dùng gel fluor, thuốc bôi chống viêm và điều chỉnh thói quen vệ sinh răng miệng đúng cách, giúp nướu ổn định và hạn chế tụt sâu hơn.

Tụt nướu nặng
Khi tình trạng tụt nướu diễn tiến nghiêm trọng, xảy ra trên nhiều răng, chân răng lộ rõ kèm viêm đỏ, đau nhức kéo dài thì việc điều trị đơn giản không còn đủ hiệu quả. Với các trường hợp tụt nướu lâu ngày không khỏi, bác sĩ thường chỉ định can thiệp phẫu thuật nhằm phục hồi mô nướu và bảo vệ chân răng. Một số phương pháp phổ biến hiện nay gồm:
- Phẫu thuật vạt tại chỗ có chân nuôi: sử dụng chính mô nướu xung quanh để che phủ vùng tụt, với nhiều kỹ thuật như vạt nhú lợi kép, vạt bán nguyệt, vạt trượt bên, vạt xoay chếch hoặc vạt trượt về phía cổ răng.
- Phẫu thuật ghép mô tự thân: lấy mô từ vùng khác trong khoang miệng để bù đắp phần nướu bị thiếu, thường áp dụng ghép mô liên kết dưới biểu mô hoặc ghép lợi tự do.
- Phẫu thuật kết hợp màng nhân tạo: sử dụng màng sinh học cùng vạt nướu nhằm tái tạo mô nâng đỡ, hỗ trợ quá trình hồi phục và tái sinh mô hiệu quả hơn.
Tùy vào mức độ tổn thương và tình trạng răng miệng tổng thể, bác sĩ nha khoa sẽ thăm khám, đánh giá kỹ lưỡng để lựa chọn phương pháp phù hợp. Trong trường hợp người bệnh đồng thời mắc nhiều vấn đề nha khoa, cần điều trị theo thứ tự ưu tiên trước khi tiến hành phục hồi nướu để đạt kết quả tối ưu.
Cách phòng ngừa tụt nướu
Phần lớn các trường hợp tụt nướu xuất phát từ thói quen chăm sóc răng miệng chưa đúng, mảng bám và cao răng tích tụ lâu ngày quanh chân răng. Vì vậy, chủ động phòng ngừa mỗi ngày chính là yếu tố then chốt giúp bảo vệ nướu và giữ răng chắc khỏe lâu dài.
- Đánh răng đúng kỹ thuật và đều đặn: Nên chải răng ít nhất 2 lần/ngày, đặc biệt sau bữa ăn và trước khi ngủ. Ưu tiên bàn chải lông mềm, đầu nhỏ để làm sạch toàn bộ bề mặt răng mà không gây tổn thương nướu; thao tác chải nhẹ nhàng theo chiều dọc hoặc xoay tròn, tránh chải ngang mạnh.
- Kết hợp chỉ nha khoa và nước súc miệng: Chỉ nha khoa giúp làm sạch mảng bám ở kẽ răng, nơi bàn chải khó tiếp cận, trong khi nước súc miệng hỗ trợ giảm vi khuẩn và làm sạch khoang miệng toàn diện hơn, đặc biệt hữu ích với người từng bị tụt nướu.
- Lấy cao răng định kỳ: Dù vệ sinh kỹ đến đâu, cao răng vẫn có thể hình thành theo thời gian. Việc cạo vôi răng đều đặn khoảng 6 tháng/lần giúp ngăn mảng bám cứng đẩy nướu tụt xuống và đồng thời phát hiện sớm các vấn đề nha khoa tiềm ẩn.

Câu hỏi thường gặp về tụt nướu (FAQ)
Chữa tụt nướu có đau không?
Quá trình điều trị tụt nướu thường không gây đau nhiều. Với trường hợp nhẹ như cạo vôi răng, làm sạch mảng bám, người bệnh chỉ cảm thấy hơi ê buốt nhẹ và sẽ hết nhanh sau đó. Nếu cần can thiệp phẫu thuật, bác sĩ sẽ gây tê nên cảm giác đau được kiểm soát tốt.
Chi phí chữa tụt nướu là bao nhiêu?
Ghép hoặc tái tạo nướu, chi phí có thể lên đến vài triệu đến hơn chục triệu đồng mỗi răng. Tổng chi phí phổ biến dao động khoảng 1.500 – 2.500 vnđ/ răng, tùy tình trạng cụ thể. Trường hợp nhẹ thường chỉ cần cạo vôi răng hoặc trám cổ răng, chi phí từ vài trăm nghìn đồng. Nếu tụt nướu nặng thì phải can thiệp phẫu thuật
Tụt nướu có cần nhổ răng không?
Hầu hết các trường hợp tụt nướu không cần nhổ răng. Điều trị chủ yếu nhằm loại bỏ viêm nhiễm, kiểm soát vi khuẩn và bảo tồn răng thật. Nhổ răng chỉ được chỉ định khi răng lung lay nặng, không còn khả năng phục hồi.
Tụt nướu chân răng có tự khỏi không?
Tụt nướu chân răng thường không tự khỏi nếu không can thiệp. Khi nướu đã tụt, mô nướu khó tự phục hồi và tình trạng có thể tiến triển nặng hơn nếu không được điều trị và chăm sóc răng miệng đúng cách.
Tụt nướu có mọc lại không?
Nướu đã bị tụt không thể tự mọc lại như ban đầu. Các phương pháp điều trị hiện nay chủ yếu giúp kiểm soát viêm, ngăn tụt nướu tiến triển và che phủ phần chân răng lộ ra bằng can thiệp nha khoa khi cần thiết.
Tụt nướu là vấn đề răng miệng không nên chủ quan vì có thể tiến triển âm thầm và gây ảnh hưởng lâu dài đến sức khỏe răng. Việc nhận biết sớm dấu hiệu tụt nướu giúp bạn chủ động điều trị kịp thời, hạn chế biến chứng và bảo tồn răng thật. Bên cạnh điều trị, duy trì thói quen chăm sóc răng miệng đúng cách đóng vai trò then chốt trong việc ngăn ngừa tái phát. Khi xuất hiện dấu hiệu bất thường, bạn nên thăm khám nha khoa sớm để được tư vấn phương án phù hợp.

