Răng cửa mọc lệch là tình trạng răng không thẳng hàng, gây mất thẩm mỹ và ảnh hưởng khớp cắn. Hiểu rõ nguyên nhân và dấu hiệu giúp phát hiện sớm tình trạng này. Bài viết hướng dẫn chi tiết 3 phương pháp khắc phục răng cửa mọc lệch hiệu quả, từ niềng răng, bọc sứ đến mài răng.
Răng cửa mọc lệch là gì?
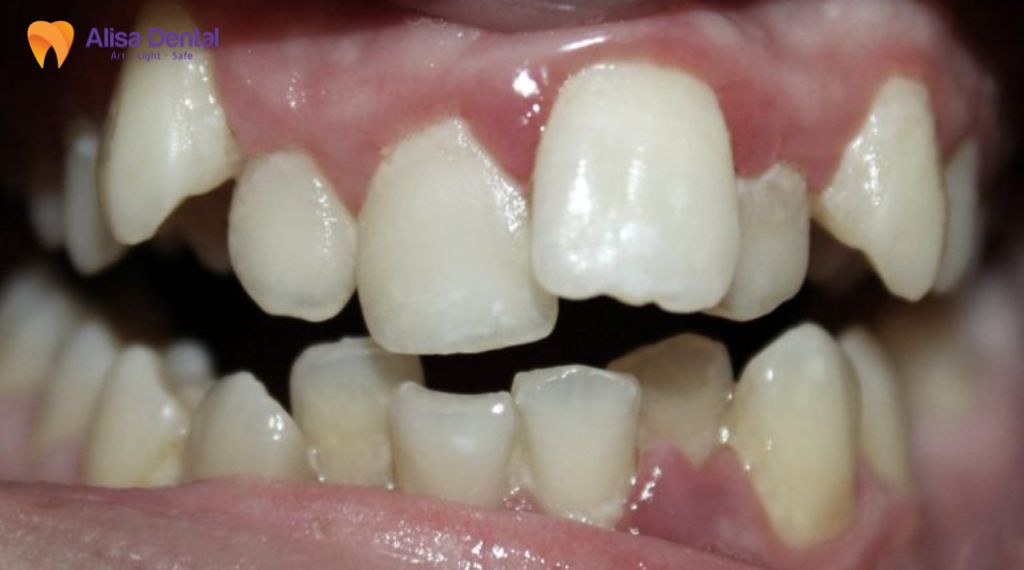
Răng cửa bị mọc lệch là tình trạng một hoặc nhiều răng cửa mọc không đều với hàm và các răng bên cạnh. Vị trí dễ thấy khiến răng lệch làm nụ cười kém cân đối, ảnh hưởng thẩm mỹ khuôn mặt. Tình trạng này còn có thể gây khó khăn khi ăn nhai nếu nghiêm trọng. Nhận biết sớm giúp chọn phương pháp khắc phục phù hợp.

Dấu hiệu nhận biết các dạng răng cửa mọc lệch
Răng cửa mọc lệch không chỉ ảnh hưởng đến thẩm mỹ nụ cười mà còn có thể gây ra vấn đề về chức năng ăn nhai. Việc nhận biết các dạng răng cửa lệch sớm sẽ giúp bạn lựa chọn giải pháp phù hợp, tránh ảnh hưởng lâu dài đến sức khỏe răng miệng. Dưới đây là một số dạng răng cửa mọc lệch phổ biến:
- Răng cửa mọc hình chữ V: Cạnh trong giữa hai răng cửa trũng xuống, tạo góc nhọn như chữ V, thường gặp khi răng cửa mọc chen chúc.
- Răng cửa mọc lộn xộn: Một hoặc cả hai răng cửa có thể mọc lệch vào trong hoặc bị xô lệch so với răng bên cạnh, dễ gây tình trạng răng cửa bị lệch vào trong.
- Răng cửa nghiêng: Răng mọc xiên sang một bên hoặc nằm ngang, đẩy các răng kế cận ra khỏi vị trí, làm răng cửa lệch khớp cắn.
- Răng cửa mọc lệch ra ngoài: Chân răng vẫn nằm đúng cung hàm nhưng thân răng mọc chìa ra ngoài, dẫn tới răng cửa bị lệch ra ngoài, ảnh hưởng thẩm mỹ và chức năng cắn.

Nguyên nhân răng cửa lại mọc lệch
Răng cửa mọc lệch là vấn đề thường gặp do nhiều nguyên nhân khác nhau, ảnh hưởng trực tiếp đến thẩm mỹ nụ cười và khớp cắn. Hiểu rõ các nguyên nhân mọc lệch sẽ giúp bạn chọn được phương pháp điều chỉnh phù hợp và phòng ngừa tình trạng tái phát hiệu quả. Dưới đây là các nguyên nhân chính:
- Nguyên nhân bẩm sinh: Một số người từ khi sinh ra đã có xương hàm phát triển không cân đối, khiến các răng khi mọc không theo đúng trật tự. Tình trạng này không chỉ ảnh hưởng răng cửa mà còn có thể gặp ở các răng khác trong hàm, tạo tiền đề cho răng cửa lệch ngay từ đầu.
- Răng mọc chen chúc: Khi các răng trong cung hàm không đủ chỗ, chúng sẽ “chen chúc” nhau, tạo áp lực khiến răng cửa dịch chuyển ra khỏi vị trí tự nhiên. Đây là nguyên nhân phổ biến dẫn đến răng cửa mọc chen chúc và lệch khớp cắn.
- Thói quen xấu thời kỳ mọc răng: Trẻ nhỏ có thể hình thành các thói quen như thè lưỡi, mút ngón tay, ngậm ti giả lâu hoặc dùng lưỡi đẩy răng. Những thói quen này tác động lực lên răng cửa khi còn non yếu, khiến răng mọc lệch hoặc nghiêng về một phía.
- Thiếu bẩm sinh hoặc mất răng: Khi thiếu răng bẩm sinh hoặc mất răng sớm, các răng còn lại sẽ di chuyển để lấp khoảng trống. Hiện tượng này làm răng cửa bị lệch vào trong, lệch ra ngoài hoặc mọc chen chúc với răng kế cận.

Răng cửa mọc lệch ảnh hưởng như thế nào?
Răng cửa bị mọc lệch không chỉ gây mất thẩm mỹ mà còn ảnh hưởng trực tiếp đến chức năng ăn nhai và giao tiếp hàng ngày. Nhiều người thắc mắc răng cửa mọc lệch có sao không, bởi nếu không điều chỉnh kịp thời, tình trạng này có thể kéo theo nhiều hệ lụy về sức khỏe răng miệng và sự tự tin trong cuộc sống. Đồng thời, răng cửa lệch có thể gây ảnh hưởng đến:
- Khớp cắn sai lệch: Răng cửa hàm trên hoặc dưới không thẳng hàng, làm giảm hiệu quả nhai, ảnh hưởng đến tiêu hóa.
- Mất thẩm mỹ: Răng mọc lệch khiến nụ cười kém đẹp, làm giảm sự tự tin khi giao tiếp.
- Phát âm khó khăn: Răng cửa mọc ra ngoài hoặc lệch nghiêng có thể khiến phát âm không rõ chữ, ảnh hưởng giao tiếp.
- Khó vệ sinh răng miệng: Răng xô lệch tạo “góc chết” khó làm sạch, tăng nguy cơ sâu răng, viêm lợi, viêm nha chu và hôi miệng.

3 phương pháp khắc phục răng cửa mọc lệch hiệu quả nhất
Để khắc phục tình trạng răng cửa mọc lệch, bạn có thể áp dụng nhiều biện pháp phù hợp với mức độ lệch và nhu cầu thẩm mỹ. Dưới đây là 3 cách chỉnh hiệu quả:
Niềng răng chỉnh nha
Niềng răng sử dụng mắc cài hoặc khay trong suốt để từ từ di chuyển răng về vị trí đúng, cải thiện cả khớp cắn. Phương pháp này bảo tồn răng thật 100% và mang lại hiệu quả lâu dài. Thời gian thực hiện thường kéo dài từ 1–2 năm, vì vậy đây là giải pháp cần cân nhắc kỹ lưỡng.

Bọc răng sứ thẩm mỹ
Bọc răng sứ là phương pháp mài cùi răng thật và chụp mão sứ lên trên để điều chỉnh lại hình dáng, màu sắc răng cửa trong thời gian ngắn. Cách làm này thường được áp dụng khi răng cửa chỉ lệch nhẹ, không ảnh hưởng nhiều đến khớp cắn và người bệnh muốn cải thiện thẩm mỹ nhanh chóng.
Mài răng
Mài răng áp dụng cho các trường hợp răng cửa vênh hoặc kênh rất ít, giúp răng thẳng và đều mà không cần niềng. Đây là một trong những cách đơn giản để chỉnh răng cửa lệch không cần niềng, tiết kiệm thời gian và chi phí, thích hợp cho răng lệch nhẹ.

Chi phí chữa răng cửa mọc lệch giá bao nhiêu?
Chi phí chữa răng cửa khi mọc lệch không có một mức cố định, mà phụ thuộc vào mức độ lệch, phương pháp điều trị được lựa chọn và chất lượng dịch vụ tại nha khoa. Thực tế, giá có thể dao động từ vài trăm nghìn đồng với các can thiệp đơn giản đến vài chục triệu đồng đối với những phương pháp chỉnh nha chuyên sâu như niềng răng hoặc bọc sứ thẩm mỹ.
| Phương pháp điều trị | Hình thức | Chi phí tham khảo |
| Niềng răng (chỉnh nha) | Mắc cài kim loại/sứ | Khoảng 15 – 40 triệu VNĐ/hàm (tùy tình trạng) |
| Invisalign (khay trong suốt) | Khoảng 20 – 120 triệu VNĐ/toàn hàm | |
| Bọc răng sứ / Veneer | Bọc sứ (1 răng) | Khoảng 2,5 triệu – 18 triệu VNĐ/răng |
| Veneer (dán sứ) | Khoảng 8 triệu – 22 triệu VNĐ/răng | |
| Trám/Hàn răng thẩm mỹ | Trám Composite | Khoảng 300.000 – 1.000.000 VNĐ/răng |
| Trường hợp hỗ trợ khác | Nhổ răng (nếu cần) | Khoảng 1 triệu – 5 triệu VNĐ/răng |
| Chữa tủy răng cửa | Khoảng 2 – 3 triệu VNĐ/răng |
Câu hỏi thường gặp (FAQ)
Niềng 2 răng cửa mọc lệch có được không?
Thông thường, chỉ niềng 2 răng cửa không thể mang lại hiệu quả tối ưu vì răng di chuyển cần có lực cân bằng từ toàn bộ hàm. Bác sĩ thường khuyến nghị niềng cả hàm để đảm bảo khớp cắn chuẩn, răng di chuyển đồng đều và tránh tình trạng lệch răng trở lại sau điều trị. Việc niềng toàn hàm cũng giúp cải thiện thẩm mỹ nụ cười và chức năng nhai tốt hơn.
Nhổ răng cửa mọc lệch có nguy hiểm không?
Nhổ răng cửa mọc bị lệch không quá nguy hiểm nếu được thực hiện tại nha khoa uy tín, với bác sĩ giàu kinh nghiệm và đầy đủ dụng cụ. Tuy nhiên, cần cân nhắc kỹ lưỡng vì răng cửa đóng vai trò quan trọng về thẩm mỹ và chức năng nhai. Sau nhổ, bác sĩ sẽ tư vấn giải pháp phục hồi như trồng implant, cầu răng hoặc niềng chỉnh để tránh khoảng trống ảnh hưởng đến hàm răng.
Răng cửa mọc lệch có niềng trong bao lâu?
Thời gian niềng răng cửa bị lệch phụ thuộc vào mức độ lệch, phương pháp niềng và cơ địa từng người. Trung bình, niềng răng cửa mất từ 12 – 24 tháng để răng dịch chuyển về đúng vị trí và ổn định khớp cắn. Bác sĩ sẽ lên kế hoạch chi tiết, kết hợp kiểm tra định kỳ để đảm bảo kết quả chính xác và duy trì lâu dài.

Răng cửa lệch nhẹ có cần chỉnh không?
Răng cửa lệch nhẹ về mặt thẩm mỹ không quá nghiêm trọng nhưng có thể gây khó khăn khi vệ sinh, dẫn đến tích tụ mảng bám và viêm lợi. Việc chỉnh răng cửa lệch nhẹ hay không còn phụ thuộc vào nhu cầu thẩm mỹ và chức năng nhai của người bệnh. Nếu muốn nụ cười đều đẹp, các phương pháp nhẹ nhàng như trám, bọc sứ hoặc niềng trong suốt có thể áp dụng nhanh chóng và ít xâm lấn.
Răng cửa mọc lệch có thể làm nụ cười kém hài hòa và ảnh hưởng đến chức năng ăn nhai, phát âm. Việc phát hiện sớm và lựa chọn cách điều chỉnh phù hợp giúp cải thiện thẩm mỹ và bảo vệ răng thật. Các phương pháp như niềng răng, bọc sứ hay mài răng đều hiệu quả nếu thực hiện đúng chỉ dẫn. Hãy thăm khám nha khoa định kỳ sẽ giúp bạn xử lý tình trạng này kịp thời và an toàn.

