Răng Implant bị dắt thức ăn là một tình trạng dễ gặp phải sau khi trồng răng Implant. Nhiều cô chú và các bạn đã liên hệ cho nha khoa để tìm cách xử lý. Chính vì vậy bài viết này nha khoa Alisa sẽ chia sẻ cùng cô chú và các bạn cách xử lý khi răng Implant bị dắt thức ăn, cùng tìm hiểu ngay nhé!
Răng Implant bị dắt thức ăn là một tình trạng phổ biến thường gặp, chính vì vậy cô chú và các bạn không cần quá lo lắng khi gặp trường hợp này. Nó bắt nguồn từ những lý do sau:
1. Do mở rộng vùng tiếp xúc giữa các răng Implant
Việc mở rộng vùng tiếp xúc giữa răng Implant có 2 nguyên nhân chính:
Về cơ chế hoạt động răng Implant nằm bất động trong xương hàm còn răng thật luôn có xu hướng di chuyển về phía trước. Thời gian đầu sau khi lắp răng ăn nhai tốt.Vì vậy việc dắt thức ăn thường xảy ra sau khoảng vài năm kể từ khi lắp răng trên Implant.

Về kỹ thuật Do thiếu sót trong quá trình lắp răng của Bác sĩ để tiếp xúc giữa các răng chưa đủ độ chặt dẫn tới tồn tại khe hẹp là nơi thức ăn dắt vào.Vấn đề này thường xảy ra ngay sau khi lắp răng, đôi khi tình trạng sâu /mẻ/ nghiêng xoay xảy ra với răng bên cạnh cũng dẫn tới dắt đồ ăn.
Đối với trường hợp này nha khoa Alisa xử lý bằng cách thêm sứ vào răng Implant bên trên hoặc hàn trực tiếp vào răng bên cạnh.
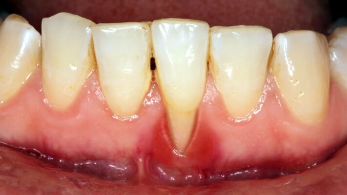
2. Do hở nhú lợi dẫn đến răng Implant bị dắt thức ăn
Phần nhú lợi nhô lên không lấp kín khe giữa 2 răng dẫn tới tình trạng hở nhú lợi. Hở nhú lợi được hiểu theo 2 cơ chế đó là: Do sự tiêu của xương ở vùng chẽ giữa 2 răng do các bệnh lý trước đó của răng hoặc sang chấn trong quá trình nhổ răng. Và do chân và cổ răng nhân tạo nhỏ hơn so với răng thật.
Tại Nha khoa Alisa, chúng tôi khám và lên kế hoạch cho Implant ngay từ đầu. Nha khoa Alisa có đầy đủ trang thiết bị cung như kĩ thuật để bảo tồn tối đa nhú lợi ban đầu. Ví dụ như nhổ răng không gây sang chấn, cấy Implant tức thì. Ghép xương bảo tồn nhú lợi nhằm hạn chế tình trạng tiêu xương.

Trường hợp này bác sĩ sẽ cấy Implant sâu hơn với bệnh nhân có tình trạng lợi mỏng. Làm Abutment cá nhân để tăng kích thước vùng cổ răng Implant tạo hình dựng trục răng nghiêng lệch bên cạnh hay tăng diện tiếp xúc giữa 2 răng để thu hẹp khoảng trống với răng bên cạnh.
3. Do viêm quanh Implant gây tiêu xương dẫn đến tụt lợi
Điều này hay gặp ở những bệnh nhân có tình trạng vệ sinh răng miệng chưa tốt và không đi kiểm tra định kì .Viêm nhiễm dẫn đến tiêu xương làm lợi tụt xuống. Tình trạng này đồng nghĩa với kẽ giữa 2 răng được mở rộng hơn tạo điều kiện cho răng Implant bị dắt thức ăn.
Để giải quyết cho trường hợp này Nha khoa Alisa có 2 phương án :
- Tháo phục Hình cũ, điều trị dứt điểm tình trạng viêm quanh Implant rồi thay thế bằng phục hình mới.
- Một số ít bệnh nhân đến với chúng tôi khi tình trạng viêm đã quá nặng,tiêu xương dẫn đến lộ nhiều ren của Implant bên dưới, cách làm tốt nhất là thay thế bằng Implant khác
4. Do cấy Implant sai vị trí dẫn đến răng Implant bị dắt thức ăn
Trường hợp bác sĩ chưa có nhiều kinh nghiệm có thể trồng răng Implant sai vị trí. Điều này dẫn đến hệ quả răng được phục hình sau này khó đạt được như kế hoạch ban đầu. Mặt khác vô tình lại tạo điều kiện cho việc dắt thức ăn.
Tại nha khoa Alisa đặc biệt 100% không có trường hợp trồng răng Implant sai vị trí. Tuy nhiên có vài trường hợp cấy Implant ở nơi khác và đến nha khoa trong tình trạng dắt thức ăn. Để xử lý cho trường hợp này Nha khoa Alisa có một số phương án như sau:
- Với Implant lệch ít: Chúng tôi sử dụng Abutment cá nhân nhằm chuyển hướng trục nhằm tạo thuận lợi nhất cho răng lắp sau cùng ở bên trên. Điều này mang lại hiệu quả tốt trên phần lớn bệnh nhân
- Với Implant lệch quá nhiều không còn khả năng khắc phục được thì cách khả dĩ nhất là thay thế bằng Implant khác

Trồng răng Implant sai vị trí dẫn đến nhiều hệ lụy như: kết quả cấy ghép thất bại, tốn kém cho phí, gây đau. Chính vì vậy việc lựa chọn cơ sở nha khoa uy tín và trình độ chuyên môn cao là vô cùng quan trọng.
Như vậy cô chú và các bạn đã có thông tin về nguyên nhân và cách khắc phục tình trạng răng Implant bị dắt thức ăn. Để hạn chế dắt thức ăn cũng như hệ lụy mà nó mang lại thì cô chú và các bạn giữ cho mình hàm răng chắc khỏe bằng cách đi kiểm tra định kì và khám tư vấn và xử lý để có phương án phục hồi tốt nhất.
- Xem ngay: dịch vụ trồng răng Implant trụ Implant Mỹ Hiossen bảo hành 13 năm
5. Thông tin liên hệ
- Hotline: 084.2295.777 – 024.3371.7777
- Địa chỉ: Số 33 nguyễn Phong Sắc, Cầu Giấy, Hà Nội
- Fanpage: https://www.facebook.com/AlisaDental
Xem thêm các bài viết liên quan

